Mind the gap: Management of an emergent and threatening invasive fungal infection-a case report of rhino-orbital-cerebral and pulmonary mucormycosis
- PMID: 24432223
- PMCID: PMC3885946
- DOI: 10.1016/j.mmcr.2013.02.008
Mind the gap: Management of an emergent and threatening invasive fungal infection-a case report of rhino-orbital-cerebral and pulmonary mucormycosis
Abstract
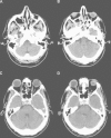
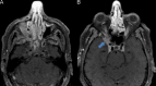
Mucormycosis is an emergent and threatening invasive fungal invasion underdiagnosed by clinicians due to lack of awareness and aspecific clinical picture. The authors describe a clinical case of a diabetic and cirrhotic patient who developed rhino-orbital-cerebral and pulmonary mucormycosis, non-responsive to treatment. Typical gaps in the management of this deadly disease are addressed. There is a strong need for novel therapies and an expectation that sponsors will recognize the critical need for randomized clinical trials.
Keywords: Delays; Diabetes; High mortality; Hyperbaric medicine; Mucormycosis; Randomized clinical trials.
Figures
References
-
- Marques DS, Pinho Vaz C, Branca R, Campilho F, Lamelas C, Afonso LP et al. Rhizomucor and scedosporium infection post hematopoietic stem-cell transplant. Case Report Med 2011;830769. doi:10.1155/2011/830769. Epub 2011 April 5. - DOI - PMC - PubMed
-
- Oliveira V., Costa A. Cerebral hematoma caused by mucormycosis. Reviews in Neurological Diseases. 2001;33(10):951–953. - PubMed
-
- Rammaert B., Lanternier F., Poirée S., Kania R., Lortholary O. Diabetes and mucormycosis: a complex interplay. Diabetes and Metabolism. 2012;38(3):193–204. - PubMed
LinkOut - more resources
Full Text Sources
Other Literature Sources
Miscellaneous
