A rare cavernous hemangioma of the adrenal gland
- PMID: 24441435
- PMCID: PMC3921650
- DOI: 10.1016/j.ijscr.2013.11.003
A rare cavernous hemangioma of the adrenal gland
Abstract
Introduction: Cavernous hemangiomas of the adrenal gland are rare. We report a case of a cavernous hemangioma of the adrenal gland presenting as an adrenal incidentaloma suspicious for adrenal cortical carcinoma (ACC).
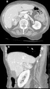
Presentation of case: A 78 year old woman was admitted after a fall. Abdominal computed tomography revealed a large right adrenal lesion with features suspicious for adrenal cortical carcinoma (5.4cm×3.3cm, unilateral, tumor calcifications, average Hounsfield units 55). The tumor was removed intact by a laparoscopic approach and pathology revealed a cavernous hemangioma of the adrenal gland.
Discussion: Adrenal incidentalomas are found in up to 10% of patients undergoing abdominal imaging. Differential diagnosis includes both benign and malignant lesions. Guidelines for removal of adrenal incidentalomas recommend surgery based on functional status, size, and presence of concerning features on diagnostic imaging. Cavernous hemangiomas are rare, benign vascular malformations which can be challenging to distinguish pre-operatively from malignant lesions such as ACC.
Conclusion: Cavernous hemangiomas of the adrenal gland are exceedingly rare. These benign tumors have imaging features which may be suggestive of adrenal cortical carcinoma. The treatment of choice is surgical excision due the difficulty of excluding malignancy.
Keywords: Adrenal; Adrenal cortical carcinoma; Cavernous hemangioma.
Copyright © 2013 The Authors. Published by Elsevier Ltd.. All rights reserved.
Figures



References
-
- Boraschi P., Campatelli A., Di Vito A., Perri G. Hemorrhage in cavernous hemangioma of the adrenal gland: US, CT and MRI appearances with pathologic correlation. European Journal of Radiology. 1995;21:41–43. - PubMed
-
- Terzolo M., Stigliano A., Chiodini I., Loli P., Furlani L., Arnaldi G. AME position statement on adrenal incidentaloma. European Journal of Endocrinology/European Federation of Endocrine Societies. 2011;164:851–870. - PubMed
-
- Paton B.L., Novitsky Y.W., Zerey M., Harrell A.G., Norton H.J., Asbun H. Outcomes of adrenal cortical carcinoma in the United States. Surgery. 2006;140:914–920. discussion 9–20. - PubMed
-
- Oishi M., Ueda S., Honjo S., Koshiyama H., Yuba Y., Takabayashi A. Adrenal cavernous hemangioma with subclinical Cushing's syndrome: report of a case. Surgery Today. 2012;42:973–977. - PubMed
-
- Auh Y.H., Anand J., Zirinsky K., Kazam E. Adrenal hemangioma: a case report. The Journal of Computed Tomography. 1986;10:57–59. - PubMed
LinkOut - more resources
Full Text Sources
Other Literature Sources
Research Materials