Schwannomas and their pathogenesis
- PMID: 24450866
- PMCID: PMC8029073
- DOI: 10.1111/bpa.12125
Schwannomas and their pathogenesis
Abstract
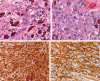
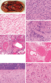
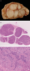
Schwannomas may occur spontaneously, or in the context of a familial tumor syndrome such as neurofibromatosis type 2 (NF2), schwannomatosis and Carney's complex. Schwannomas have a variety of morphological appearances, but they behave as World Health Organization (WHO) grade I tumors, and only very rarely undergo malignant transformation. Central to the pathogenesis of these tumors is loss of function of merlin, either by direct genetic change involving the NF2 gene on chromosome 22 or secondarily to merlin inactivation. The genetic pathways and morphological features of schwannomas associated with different genetic syndromes will be discussed. Merlin has multiple functions, including within the nucleus and at the cell membrane, and this review summarizes our current understanding of the mechanisms by which merlin loss is involved in schwannoma pathogenesis, highlighting potential areas for therapeutic intervention.
Keywords: Carney's complex; NF2; merlin; pathogenesis; schwannoma; schwannomatosis.
© 2014 International Society of Neuropathology.
Figures
References
-
- Agaram NP, Prakash S, Antonescu CR (2005) Deep‐seated plexiform schwannoma: a pathologic study of 16 cases and comparative analysis with the superficial variety. Am J Surg Pathol 29:1042–1048. - PubMed
-
- Akhmametyeva EM, Mihaylova MM, Luo H, Kharzai S, Welling DB, Chang LS (2006) Regulation of the neurofibromatosis 2 gene promoter expression during embryonic development. Dev Dyn 235:2771–2785. - PubMed
-
- Alfthan K, Heiska L, Grönholm M, Renkema GH, Carpén O (2004) Cyclic AMP‐dependent protein kinase phosphorylates merlin at serine 518 independently of p21‐activated kinase and promotes merlin‐ezrin heterodimerization. J Biol Chem 279:18559–18566. - PubMed
Publication types
MeSH terms
LinkOut - more resources
Full Text Sources
Other Literature Sources
Medical
Research Materials
Miscellaneous
