Giant intra-articular synovial osteochondromata of the knee
- PMID: 24470744
- PMCID: PMC3872470
Giant intra-articular synovial osteochondromata of the knee
Abstract
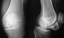
Background/aim: Synovial chondromatosis associated, intra-articular loose bodies are usually small in size. Giant intra-articular loose bodies are rare.
Case report: We present the case of a patient with synovial chondromatosis associated giant intra-articular loose bodies located under the patella and the intercondylar fossa, treated successfully with combined arthroscopic and open excision.
Conclusion: Giant intra-articular loose bodies should be considered when treating patients with synovial chondromatosis. Arthroscopy confirms the diagnosis, allows the thorough examination of the knee joint, and subsequent excision of small or medium size attached synovial nodules or intra-articular loose bodies. Arthrotomy may be needed to excise giant loose bodies.
Keywords: Synovial chondromatosis; arthroscopy; giant; joint loose bodies; knee joint.
Figures





References
-
- Boya H, Pinar H, Ozcan O. Synovial osteochondromatosis of the suprapatellar bursa with an imperforate suprapatellar plica. Arthroscopy. 2002;18:E17. - PubMed
-
- Covall DJ, Fowble CD. Arthroscopic treatment of synovial chondromatosis of the shoulder and biceps tendon sheath. Arthroscopy. 1993;9:602–604. - PubMed
-
- Choi JK, Jeong JH, Lee CT, Kim SJ. Synovial chondromatosis in the quadriceps tendon. Arthroscopy. 2003;19:E36. - PubMed
-
- Osti L, Papalia R, Del Buono A, Denaro V, Maffulli N. Recurrence of synovial chondromatosis of the Hoffa’s body. Knee Surg Sports Traumatol Arthrosc. 2009;17:1421–1424. - PubMed
-
- Buddingh EP, Krallman P, Neff JR, Nelson M, Liu J, Bridge JA. Chromosome 6 abnormalities are recurrent in synovial chondromatosis. Cancer Genet Cytogenet. 2003;140:18–22. - PubMed
Publication types
LinkOut - more resources
Full Text Sources