Fusarium incarnatum/equiseti hemodialysis graft infection
- PMID: 24470894
- PMCID: PMC3892584
- DOI: 10.4081/idr.2010.e14
Fusarium incarnatum/equiseti hemodialysis graft infection
Abstract
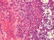
Hemodialysis graft infections typically occur as a result of contamination by skin flora at the time of insertion or become secondarily infected after high-grade bacteremia. Infection of implanted vascular devices with filamentous fungi is rare. We report a case of infection of an implanted polytetrafluoroethylene dialysis graft with Fusarium incarnatum/equiseti that did not grow in cultures of tissue but was identified by molecular means.
Keywords: Fusarium equiseti; Fusarium incarnatum; graft.; hemodialysis; infection.
Figures
References
-
- Dismukes W, Pappas P, Sobel J. Clinical Mycology. Oxford: Oxford University Press; 2003. pp. 252–70.
-
- Dignani MC, Anaissie E. Human fusariosis. Clin Microbiol Infect. 2004;10:67–75. - PubMed
Publication types
LinkOut - more resources
Full Text Sources
