MELAS, an important consideration in the adult population presenting with unusual and recurrent stroke-like episodes
- PMID: 24473421
- PMCID: PMC3912399
- DOI: 10.1136/bcr-2013-201640
MELAS, an important consideration in the adult population presenting with unusual and recurrent stroke-like episodes
Abstract
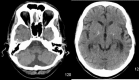
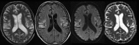
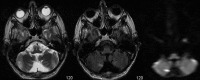
A 48-year-old man was admitted for workup of stroke-like symptoms and generalised tonic-clonic seizures. History and examination revealed that the patient had background diagnoses of type 2 diabetes mellitus, epilepsy and had suffered a temporal lobe infarct 3 years ago. The unusual presentation and physical findings, along with subsequent MRI findings led to a diagnosis of mitochondrial myopathy, encephalopathy, lactic acidosis and stroke-like episodes (MELAS). MELAS is a mitochondrial disorder typified by the aforementioned symptoms, and is typically diagnosed in the first two decades of life.
Figures






References
-
- El-Hattaba A, Emrickb L, Craigenb W, et al. Citrulline and arginine utility in treating nitric oxide deficiency in mitochondrial disorders. Mol Genet Metab 2012;107:247–52 - PubMed
-
- Scaglia F, Northrop JL. The mitochondrial myopathy encephalopathy, lactic acidosis with stroke-like episodes (MELAS) syndrome: a review of treatment options. CNS Drugs 2006;20:443–64 - PubMed
-
- Montagna P, Gallassi R, Medori R, et al. MELAS syndrome: characteristic migrainous and epileptic features and maternal transmission. Neurology 1988;38:751–4 - PubMed
-
- Pavlakis SG, Phillips PC, DiMauro S, et al. Mitochondrial myopathy, encephalopathy, lactic acidosis, and strokelike episodes: a distinctive clinical syndrome. Ann Neurol 1984;16:481–8 - PubMed
-
- Lizuka T, Sakai F, Suzuki N, et al. Neuronal hyperexcitability in stroke-like episodes of MELAS syndrome. Neurology 2002;59:816–24 - PubMed
Publication types
MeSH terms
LinkOut - more resources
Full Text Sources
Other Literature Sources
Medical