A case of rasmussen encephalitis: the differential diagnoses and role of diagnostic imaging
- PMID: 24498485
- PMCID: PMC3910406
- DOI: 10.5001/omj.2014.15
A case of rasmussen encephalitis: the differential diagnoses and role of diagnostic imaging
Abstract
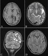
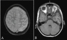
Rasmussen encephalitis is an extremely rare chronic inflammatory neurodegenerative disease affecting a single cerebral hemisphere, causing progressive neurological deterioration and intractable seizures. Imaging plays an important role in diagnosis by demonstrating focal or unihemispheric involvement and excluding other possible causes. Here, we report a case of Rasmussen encephalitis with an update on recent diagnostic criteria and emphasis on differential diagnoses which can be excluded on imaging.
Keywords: Epilepsia partialis continua; Magnetic resonance imaging; Rasmussen encephalitis.
Figures



References
Publication types
LinkOut - more resources
Full Text Sources
Other Literature Sources