A case of immunoglobulin g4-related disease presenting as a pleural mass
- PMID: 24523817
- PMCID: PMC3919964
- DOI: 10.4046/trd.2014.76.1.38
A case of immunoglobulin g4-related disease presenting as a pleural mass
Abstract
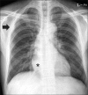
Immunoglobulin G4 (IgG4)-related disease is a newly recognized condition characterized by fibroinflammatory lesions with dense lymphoplasmacytic infiltration, storiform-type fibrosis and obliterative phlebitis. The pathogenesis is not fully understood but multiple immune-mediated mechanisms are believed to contribute. This rare disease can involve various organs and pleural involvement is even rarer. We report a case of IgG4-related disease involving pleura. A 66-year-old man presented with cough and sputum production for a week. Chest radiography revealed consolidation and a pleural mass at right hemithorax. Treatment with antibiotics resolved the consolidation and respiratory symptoms disappeared, but the pleural mass was unchanged. Video-assisted thoracoscopic surgery was performed. Histopathology revealed dense lymphoplasmacytic infiltration and storiform fibrosis with numerous IgG4-bearing plasma cells. The serum IgG4 level was also elevated. Further examination ruled out the involvement of any other organ. The patient was discharged without further treatment and there is no evidence of recurrence to date.
Keywords: Autoimmune Diseases; Immunoglobulin G; Pleural Neoplasms.
Figures



References
-
- Hamano H, Kawa S, Horiuchi A, Unno H, Furuya N, Akamatsu T, et al. High serum IgG4 concentrations in patients with sclerosing pancreatitis. N Engl J Med. 2001;344:732–738. - PubMed
-
- Zen Y, Harada K, Sasaki M, Sato Y, Tsuneyama K, Haratake J, et al. IgG4-related sclerosing cholangitis with and without hepatic inflammatory pseudotumor, and sclerosing pancreatitis-associated sclerosing cholangitis: do they belong to a spectrum of sclerosing pancreatitis? Am J Surg Pathol. 2004;28:1193–1203. - PubMed
-
- Kitagawa S, Zen Y, Harada K, Sasaki M, Sato Y, Minato H, et al. Abundant IgG4-positive plasma cell infiltration characterizes chronic sclerosing sialadenitis (Kuttner's tumor) Am J Surg Pathol. 2005;29:783–791. - PubMed
-
- Kasashima S, Zen Y, Kawashima A, Konishi K, Sasaki H, Endo M, et al. Inflammatory abdominal aortic aneurysm: close relationship to IgG4-related periaortitis. Am J Surg Pathol. 2008;32:197–204. - PubMed
-
- Kamisawa T, Funata N, Hayashi Y, Eishi Y, Koike M, Tsuruta K, et al. A new clinicopathological entity of IgG4-related autoimmune disease. J Gastroenterol. 2003;38:982–984. - PubMed
LinkOut - more resources
Full Text Sources
Other Literature Sources