Detection, removal and prevention of calculus: Literature Review
- PMID: 24526823
- PMCID: PMC3923169
- DOI: 10.1016/j.sdentj.2013.12.003
Detection, removal and prevention of calculus: Literature Review
Abstract
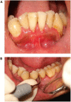
Dental plaque is considered to be a major etiological factor in the development of periodontal disease. Accordingly, the elimination of supra- and sub-gingival plaque and calculus is the cornerstone of periodontal therapy. Dental calculus is mineralized plaque; because it is porous, it can absorb various toxic products that can damage the periodontal tissues. Hence, calculus should be accurately detected and thoroughly removed for adequate periodontal therapy. Many techniques have been used to identify and remove calculus deposits present on the root surface. The purpose of this review was to compile the various methods and their advantages for the detection and removal of calculus.
Keywords: Calculus; Gingivitis; Periodontal disease; Plaque; Ultrasonic scaling.
Figures











References
-
- Aoki A., Ando Y., Watanabe H., Ishikawa I. In vitro studies on laser scaling of subgingival calculus with an erbium: YAG laser. J. Periodontol. 1994;65:1097–1106. - PubMed
-
- Aoki A., Miura M., Akiyama F., Nakagawa N., Tanaka J., Oda S., Watanabe H., Ishikawa I. In vitro evaluation of Er:YAG laser scaling of subgingival calculus in comparison with ultrasonic scaling. J. Periodontal. Res. 2000;35:266–277. - PubMed
-
- Aoki A., Sasaki K.M., Watanabe H., Ishikawa I. Lasers in non-surgical periodontal therapy. Periodontol. 2000. 2004;36:59–97. - PubMed
-
- Arabaci T., Cicek Y., Canakci C.F. Sonic and ultrasonic scalers in periodontal treatment: a review. Int. J. Dent. Hyg. 2007;5:2–12. - PubMed
-
- Ash M.M., Gitlin B.N., Smith W.A. Correlation between plaque and gingivitis. J. Periodontol. 1964;35:424–429.
Publication types
LinkOut - more resources
Full Text Sources
Other Literature Sources