Skip to main page content
U.S. flag

An official website of the United States government

Dot gov

The .gov means it’s official.
Federal government websites often end in .gov or .mil. Before sharing sensitive information, make sure you’re on a federal government site.

Https

The site is secure.
The https:// ensures that you are connecting to the official website and that any information you provide is encrypted and transmitted securely.

Access keys NCBI Homepage MyNCBI Homepage Main Content Main Navigation
. 2014 Jan;18(1):26-32.
doi: 10.4103/0972-5229.125433.

Evaluation of ultrasound for central venous access in ICU by an in experienced trainee

Affiliations

Evaluation of ultrasound for central venous access in ICU by an in experienced trainee

Neeta Bose et al. Indian J Crit Care Med. 2014 Jan.

Abstract

Background and aims: Central venous catheter placement is an important procedure for ICU (Intensive Care Unit) patients. We studied the usefulness of ultrasonography for placement of central venous catheter by in-experienced anesthetists.

Materials and methods: A prospective observational study of 32 patients requiring central venous access (CVA) in surgical ICU (SICU). Data collected were patient's demographics, indication, type of catheter, success rate, attempts, complication rate and access time were recorded and compared with other studies.

Result: The overall success rate was 89.5% in the IJV (Internal Jugular Vein) and 92.3% for SCV (Subclavian Vein) group. The success rates for insertion at first, second, and third attempt were 52.6%, 31.6%, and 5.2% for IJV and 46.2% and 53.8% for SCV. Average number of attempts made for IJV cannulation was 1.74 +/- 1.04 and 1.54 +/- 0.51 for SCV. The total time taken for IJV access was 858.78 +/- 381.9 sec, whereas in the SCV group, it was 984 +/- 328.98 seconds. In our study, overall rate of complication was 21.05% (4/19 patients) for IJV and 23.07% (3/13 patients) for SCV insertion. Incidence of various complications like arterial puncture, misplacement of CVC, hematoma, pneumothorax, and hemothorax were also noted.

Conclusion: This study concludes that real time ultrasound guidance during IJV and SCV cannulation can achieve higher success rate, fewer complications, number of attempts, and failure rate among inexperienced anesthetists.

Keywords: Central venous catheter; inexperienced; intensive care unit; ultrasonography.

PubMed Disclaimer

Conflict of interest statement

Conflict of Interest: None declared.

Figures

Figure 1
Figure 1
Doppler waveform of carotid artery
Figure 2
Figure 2
Doppler waveform of IJV
Figure 3
Figure 3
Doppler wave form of SCA
Figure 4
Figure 4
Doppler wave form of SCV
Figure 5
Figure 5
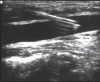
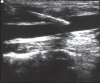
Needle compressing vessel wall
Figure 6
Figure 6
Bevel of needle is in the lumen of vein

References

    1. Raad I. Intravascular-catheter-related infections. Lancet. 1998;351:893–8. - PubMed
    1. Feller Kopman D. Ultrasound-guided internal jugular access: A proposed standardized approach and implications for training and practice. Chest. 2007;132:302–9. - PubMed
    1. Eisen LA, Narasimhan M, Berger JS, Mayo PH, Rosen MJ, Schneider RF. Mechanical complications of central venous catheters. J Intensive Care Med. 2006;21:40–6. - PubMed
    1. Barre E, Bosquet C. Complications of femoral and subclavian venous catheterization in critically ill patients. JAMA. 2001;286:700–7. - PubMed
    1. Kusminsky RE. Complications of central venous catheterization. J Surg Oncol. 2007;204:681–96. - PubMed

LinkOut - more resources