Lateral sliding bridge flap technique along with platelet rich fibrin and guided tissue regeneration for root coverage
- PMID: 24554895
- PMCID: PMC3917215
- DOI: 10.4103/0972-124X.124525
Lateral sliding bridge flap technique along with platelet rich fibrin and guided tissue regeneration for root coverage
Abstract
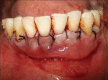
Gingival recession is defined as the apical migration of the gingival margin with exposure of root surfaces. The etiology of the condition is multifactorial. Given the high rate of gingival recession defects among the general population, it is imperative that dental practitioners have an understanding of the etiology, complications and management of the condition. A recent innovation in dentistry is the preparation and use of platelet-rich fibrin (PRF) for recession defects. The article presents a case report, which highlights the use of lateral sliding bridge flap along with PRF in a collagen membrane carrier (guided tissue regeneration) for the treatment of multiple recession defects.
Keywords: Bridge flap; gingival recession; guided tissue regeneration; platelet rich fibrin.
Conflict of interest statement
Figures










References
-
- Kassab MM, Cohen RE. The etiology and prevalence of gingival recession. J Am Dent Assoc. 2003;134:220–5. - PubMed
-
- Goldstein M, Brayer L, Schwartz Z. A critical evaluation of methods for root coverage. Crit Rev Oral Biol Med. 1996;7:87–98. - PubMed
-
- Pini Prato G, Tinti C, Vincenzi G, Magnani C, Cortellini P, Clauser C. Guided tissue regeneration versus mucogingival surgery in the treatment of human buccal gingival recession. J Periodontol. 1992;63:919–28. - PubMed
-
- Marggraf E. A direct technique with a double lateral bridging flap for coverage of denuded root surface and gingiva extension. Clinical evaluation after 2 years. J Clin Periodontol. 1985;12:69–76. - PubMed
-
- Melcher AH. On the repair potential of periodontal tissues. J Periodontol. 1976;47:256–60. - PubMed
Publication types
LinkOut - more resources
Full Text Sources
Other Literature Sources