Anatomical variants and pathologies of the vermix
- PMID: 24570122
- PMCID: PMC4324638
- DOI: 10.1007/s10140-014-1206-4
Anatomical variants and pathologies of the vermix
Abstract
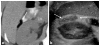
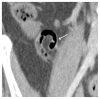
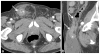
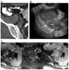
The appendix may demonstrate a perplexing range of normal and abnormal appearances on imaging exams. Familiarity with the anatomy and anatomical variants of the appendix is helpful in identifying the appendix on ultrasound, computed tomography, and magnetic resonance imaging. Knowledge of the variety of pathologies afflicting the appendix and of the spectrum of imaging findings may be particularly useful to the emergency radiologist for accurate diagnosis and appropriate guidance regarding clinical and surgical management. In this pictorial essay, we review appendiceal embryology, anatomical variants such as Amyand hernias, and pathologies from appendicitis to carcinoid, mucinous, and nonmucinous epithelial neoplasms.
Conflict of interest statement
Figures
















References
-
- Yeo . Shackelford’s surgery of the alimentary tract. 6. Saunders; Philadelphia: 2007.
-
- Schumpelick V, Dreuw B, Ophoff K, et al. Appendix and cecum: embryology, anatomy, and surgical applications. Surg Clinc North Am. 2000;80(1):295–318. - PubMed
-
- Long SS, Long C, Lai H, Macura KJ. Imaging strategies for right lower quadrant pain in pregnancy. AJR. 2011;196:4–12. - PubMed
-
- Spalluto LB, Woodfield CA, DeBenefectis CM, Lazarus E. MR imaging evaluation of abdominal pain during pregnancy: appendicitis and other nonobstetric causes. Radiographics. 2012;32(2):317–334. - PubMed
-
- Nikolaidis P, Hwang CM, Miller FH, Papanicolaou N. The nonvisualized appendix: incidence of acute appendicitis when secondary inflammatory changes are absent. Am J Roentgenol. 2004;183(4):889–892. - PubMed
Publication types
MeSH terms
Grants and funding
LinkOut - more resources
Full Text Sources
Other Literature Sources