A roadmap to promote clinical and translational research in rheumatoid arthritis-associated interstitial lung disease
- PMID: 24590021
- PMCID: PMC3941243
- DOI: 10.1378/chest.13-2408
A roadmap to promote clinical and translational research in rheumatoid arthritis-associated interstitial lung disease
Abstract
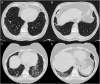
Rheumatoid arthritis (RA) is a systemic inflammatory disorder affecting approximately 1.3 million adults in the United States. Approximately 10% of these individuals with RA have clinically evident interstitial lung disease (RA-ILD), and an additional one-third demonstrate subclinical ILD on chest CT scan. The risk of death for individuals with RA-ILD is three times higher than for patients with RA without ILD, with a median survival after ILD diagnosis of only 2.6 years. Despite the high prevalence and mortality of RA-ILD, little is known about its molecular features and its natural history. At present, we lack a standard validated approach to the definition, diagnosis, risk stratification, and management of RA-ILD. In this perspective, we discuss the importance of clinical and translational research and how ongoing research efforts can address important gaps in our knowledge over the next few years. Furthermore, recommendations are made to design multicenter collaborative studies that will expedite the development of clinical trials designed to decrease the significant morbidity and mortality associated with RA-ILD.
Figures



References
-
- Helmick CG, Felson DT, Lawrence RC, et al. ; National Arthritis Data Workgroup Estimates of the prevalence of arthritis and other rheumatic conditions in the United States. Part I. Arthritis Rheum. 2008;58(1):15-25 - PubMed
-
- Minaur NJ, Jacoby RK, Cosh JA, Taylor G, Rasker JJ. Outcome after 40 years with rheumatoid arthritis: a prospective study of function, disease activity, and mortality. J Rheumatol Suppl. 2004;69:3-8 - PubMed
Publication types
MeSH terms
Grants and funding
LinkOut - more resources
Full Text Sources
Other Literature Sources
Medical