Percutaneous ablation for small renal masses-complications
- PMID: 24596439
- PMCID: PMC3930648
- DOI: 10.1055/s-0033-1363842
Percutaneous ablation for small renal masses-complications
Abstract
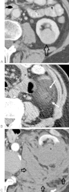
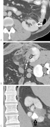
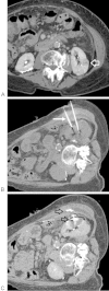
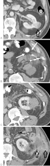
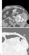
Although percutaneous ablation of small renal masses is generally safe, interventional radiologists should be aware of the various complications that may arise from the procedure. Renal hemorrhage is the most common significant complication. Additional less common but serious complications include injury to or stenosis of the ureter or ureteropelvic junction, infection/abscess, sensory or motor nerve injury, pneumothorax, needle tract seeding, and skin burn. Most complications may be treated conservatively or with minimal therapy. Several techniques are available to minimize the risk of these complications, and patients should be appropriately monitored for early detection of complications. In the event of a serious complication, prompt treatment should be provided. This article reviews the most common and most important complications associated with percutaneous ablation of small renal masses.
Keywords: complication; cryoablation; interventional radiology; kidney cancer; radiofrequency ablation.
Figures








References
-
- Atwell T D, Carter R E, Schmit G D. et al.Complications following 573 percutaneous renal radiofrequency and cryoablation procedures. J Vasc Interv Radiol. 2012;23(1):48–54. - PubMed
-
- Morgan M, Smith N, Thomas K, Murphy D G. Is Clavien the new standard for reporting urological complications? BJU Int. 2009;104(4):434–436. - PubMed
-
- Common Terminology Criteria for Adverse Events (CTCAE) Version 4.0. In: U.S. Department of Health and Human Services
-
- Sacks D, McClenny T E, Cardella J F, Lewis C A. Society of Interventional Radiology clinical practice guidelines. J Vasc Interv Radiol. 2003;14(9 Pt 2):S199–S202. - PubMed
Publication types
LinkOut - more resources
Full Text Sources
Other Literature Sources