Endocrine cells in the ileum of patients with irritable bowel syndrome
- PMID: 24605036
- PMCID: PMC3942842
- DOI: 10.3748/wjg.v20.i9.2383
Endocrine cells in the ileum of patients with irritable bowel syndrome
Abstract
Aim: To study the ileal endocrine cell types in irritable bowel syndrome (IBS) patients.
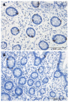
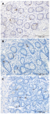
Methods: Ninety-eight patients with IBS (77 females and 21 males; mean age 35 years, range 18-66 years) were included, of which 35 patients had diarrhea (IBS-D), 31 patients had a mixture of both diarrhea and constipation (IBS-M), and 32 patients had constipation (IBS-C) as the predominant symptoms. The controls were 38 subjects (26 females and 12 males; mean age 40 years, range 18-65 years) who had submitted to colonoscopy for the following reasons: gastrointestinal bleeding, where the source of bleeding was identified as hemorrhoids (n = 24) or angiodysplasia (n = 3), and health worries resulting from a relative being diagnosed with colon carcinoma (n = 11). The patients were asked to complete the: Birmingham IBS symptom questionnaire. Ileal biopsy specimens from all subjects were immunostained using the avidin-biotin-complex method for serotonin, peptide YY (PYY), pancreatic polypeptide (PP), enteroglucagon, and somatostatin cells. The cell densities were quantified by computerized image analysis, using Olympus cellSens imaging software.
Results: The gender and age distributions did not differ significantly between the patients and the controls (P = 0.27 and P = 0.18, respectively). The total score of Birmingham IBS symptom questionnaire was 21 ± 0.8, and the three underlying dimensions: pain, diarrhea, and constipation were 7.2 ± 0.4, 6.6 ± 0.4, and 7.2 ± 0.4, respectively. The density of serotonin cells in the ileum was 40.6 ± 3.6 cells/mm² in the controls, and 11.5 ± 1.2, 10.7 ± 5.6, 10.0 ± 1.9, and 13.9 ± 1.4 cells/mm² in the all IBS patients (IBS-total), IBS-D, IBS-M, and IBS-C patients, respectively. The density in the controls differed significantly from those in the IBS-total, IBS-D, IBS-M, and IBS-C groups (P < 0.0001, P = 0.0001, P = 0.0001, and P < 0.0001, respectively). There was a significant inverse correlation between the serotonin cell density and the pain dimension of Birmingham IBS symptom questionnaire (r = -0.6, P = 0.0002). The density of PYY cells was 26.7 ± 1.6 cells/mm(2) in the controls, and 33.1 ± 1.4, 27.5 ± 1.4, 34.1 ± 2.5, and 41.7 ± 3.1 cells/mm² in the IBS-total, IBS-D, IBS-M, and IBS-C patients, respectively. This density differed significantly between patients with IBS-total and IBS-C and the controls (P = 0.03 and < 0.0001, respectively), but not between controls and, IBS-D, and IBS-M patients (P = 0.8, and P = 0.1, respectively). The density of PYY cells correlated significantly with the degree of constipation as recorded by the Birmingham IBS symptom questionnaire (r = 0.6, P = 0.0002). There were few PP-, enteroglucagon-, and somatostatin-immunoreactive cells in the biopsy material examined, which made it impossible to reliably quantify these cells.
Conclusion: The decrease of ileal serotonin cells is associated with the visceral hypersensitivity seen in all IBS subtypes. The increased density of PYY cells in IBS-C might contribute to the constipation experienced by these patients.
Keywords: Computer image analysis; Ileum; Irritable bowel syndrome; Peptide YY; Serotonin.
Figures




References
-
- Thompson WG. A world view of IBS. In: Camilleri M, Spiller RC, editors. Irritable bowel syndrome: diagnosis and treatment. Philadelphia and London: Saunders; 2002. pp. 17–26.
-
- Drossman DA, Li Z, Andruzzi E, Temple RD, Talley NJ, Thompson WG, Whitehead WE, Janssens J, Funch-Jensen P, Corazziari E. U.S. householder survey of functional gastrointestinal disorders. Prevalence, sociodemography, and health impact. Dig Dis Sci. 1993;38:1569–1580. - PubMed
-
- El-Salhy M, Gundersen D, Hatlebakk JG, Hausken T. Irritable bowel syndrome: diagnosis, pathogenesis and treatment options. New York: Nova Science Publishers, Inc; 2012.
-
- Quigley EM, Locke GR, Mueller-Lissner S, Paulo LG, Tytgat GN, Helfrich I, Schaefer E. Prevalence and management of abdominal cramping and pain: a multinational survey. Aliment Pharmacol Ther. 2006;24:411–419. - PubMed
Publication types
MeSH terms
Substances
LinkOut - more resources
Full Text Sources
Other Literature Sources
Miscellaneous