Peliosis hepatis complicated by portal hypertension following renal transplantation
- PMID: 24605041
- PMCID: PMC3942847
- DOI: 10.3748/wjg.v20.i9.2420
Peliosis hepatis complicated by portal hypertension following renal transplantation
Abstract
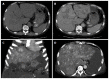
Peliosis hepatis (PH) is a vascular lesion of the liver that mimics a hepatic tumor. PH is often associated with underlying conditions, such as chronic infection and tumor malignancies, or with the use of anabolic steroids, immunosuppressive drugs, and oral contraceptives. Most patients with PH are asymptomatic, but some present with abdominal distension and pain. In some cases, PH may induce intraperitoneal hemorrhage and portal hypertension. This study analyzed a 46-year-old male who received a transplanted kidney nine years prior and had undergone long-term immunosuppressive therapy following the renal transplantation. The patient experienced progressive abdominal distention and pain in the six months prior to this study. Initially, imaging studies revealed multiple liver tumor-like abnormalities, which were determined to be PH by pathological analysis. Because the hepatic lesions were progressively enlarged, the patient suffered from complications related to portal hypertension, such as intense ascites and esophageal varices bleeding. Although the patient was scheduled to undergo liver transplantation, he suffered hepatic failure and died prior to availability of a donor organ.
Keywords: Liver neoplasm; Peliosis hepatis; Portal hypertension; Renal failure; Renal transplantation.
Figures
References
-
- Fowell AJ, Mazhar D, Shaw AS, Griffiths WJ. Education and imaging. Hepatobiliary and pancreatic: peliosis hepatis. J Gastroenterol Hepatol. 2011;26:1082. - PubMed
-
- Makdisi WJ, Cherian R, Vanveldhuizen PJ, Talley RL, Stark SP, Dixon AY. Fatal peliosis of the liver and spleen in a patient with agnogenic myeloid metaplasia treated with danazol. Am J Gastroenterol. 1995;90:317–318. - PubMed
-
- Asano S, Wakasa H, Kaise S, Nishimaki T, Kasukawa R. Peliosis hepatis. Report of two autopsy cases with a review of literature. Acta Pathol Jpn. 1982;32:861–877. - PubMed
-
- Tsokos M, Erbersdobler A. Pathology of peliosis. Forensic Sci Int. 2005;149:25–33. - PubMed
-
- Kim SH, Lee JM, Kim WH, Han JK, Lee JY, Choi BI. Focal peliosis hepatis as a mimicker of hepatic tumors: radiological-pathological correlation. J Comput Assist Tomogr. 2007;31:79–85. - PubMed
Publication types
MeSH terms
Substances
LinkOut - more resources
Full Text Sources
Other Literature Sources
Medical
