Skip to main page content
U.S. flag

An official website of the United States government

Dot gov

The .gov means it’s official.
Federal government websites often end in .gov or .mil. Before sharing sensitive information, make sure you’re on a federal government site.

Https

The site is secure.
The https:// ensures that you are connecting to the official website and that any information you provide is encrypted and transmitted securely.

Access keys NCBI Homepage MyNCBI Homepage Main Content Main Navigation
Case Reports
. 2014 Mar 11:2014:bcr2013201972.
doi: 10.1136/bcr-2013-201972.

Spontaneous bladder rupture of a urinary bladder with non-muscle invasive bladder cancer

Affiliations
Case Reports

Spontaneous bladder rupture of a urinary bladder with non-muscle invasive bladder cancer

Marios Hadjipavlou et al. BMJ Case Rep. .

Abstract

We describe the case of a 65-year-old man who developed spontaneous bladder rupture after picking up his suitcase from a squatting position. He was known to have non-muscle invasive bladder cancer (NMIBC), managed previously with transurethral resections and intravesical chemotherapy. CT scan showed a large amount of free intraperitoneal fluid anterior to the bladder, suggestive of a urinoma. Management was initially conservative, with insertion of urethral catheter, intravenous antibiotics and fluid resuscitation. Follow-up CT scan showed resolution of the urinoma with the patient making a full recovery after 3 weeks.

PubMed Disclaimer

Figures

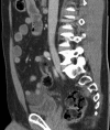
Figure 1
Figure 1
Coronal (1) and saggital (2) reconstructions of the CT scan on admission showing free fluid in the pelvis superior to the bladder and around the liver.
Figure 2
Figure 2
Coronal (1) and saggital (2) reconstructions of the CT scan on admission showing free fluid in the pelvis superior to the bladder and around the liver.

References

    1. Macalister CL. Spontaneous rupture of the urinary bladder. Proc R Soc Med 1955;48:693–7 - PMC - PubMed
    1. Daignault MC, Saul T, Lewiss RE. Bedside ultrasound diagnosis of atraumatic bladder rupture in an alcohol-intoxicated patient: a case report. Crit Ultrasound J 2012;4:9. - PMC - PubMed
    1. Dooldeniya MD, Khafagy R, Mashaly H, et al. Lower abdominal pain in women after binge drinking. BMJ 2007;335:992–3 - PMC - PubMed
    1. Fujikawa K, Yamamichi F, Nonomura M, et al. Spontaneous rupture of the urinary bladder is not a rare complication of radiotherapy for cervical cancer: report of six cases. Gynecol Oncol 1999;73:439–42 - PubMed
    1. Stein RJ, Matoka DJ, Noh PH, et al. Spontaneous perforation of congenital bladder diverticulum. Urology 2005;66:881. - PubMed

Publication types

MeSH terms