Nontuberculous mycobacterial pulmonary infections
- PMID: 24624285
- PMCID: PMC3949190
- DOI: 10.3978/j.issn.2072-1439.2013.12.24
Nontuberculous mycobacterial pulmonary infections
Abstract
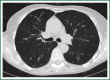
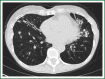
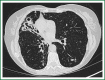
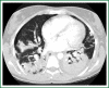
Pulmonary infections due to nontuberculous mycobacteria (NTM) are increasingly recognized worldwide. Although over 150 different species of NTM have been described, pulmonary infections are most commonly due to Mycobacterium avium complex (MAC), Mycobacterium kansasii, and Mycobacterium abscessus. The identification of these organisms in pulmonary specimens does not always equate with active infection; supportive radiographic and clinical findings are needed to establish the diagnosis. It is difficult to eradicate NTM infections. A prolonged course of therapy with a combination of drugs is required. Unfortunately, recurrent infection with new strains of mycobacteria or a relapse of infection caused by the original organism is not uncommon. Surgical resection is appropriate in selected cases of localized disease or in cases in which the infecting organism is resistant to medical therapy. Additionally, surgery may be required for infections complicated by hemoptysis or abscess formation. This review will summarize the practical aspects of the diagnosis and management of NTM thoracic infections, with emphasis on the indications for surgery and the results of surgical intervention. The management of NTM disease in patients with human immunodeficiency virus (HIV) infections is beyond the scope of this article and, unless otherwise noted, comments apply to hosts without HIV infection.
Keywords: Nontuberculous mycobacterium (NTM); bronchiectasis; hot tub lung; mycobacterium abscessus; mycobacterium avium intracellulare (MAI).
Figures




References
-
- Chan ED, Iseman MD. Underlying host risk factors for nontuberculous mycobacterial lung disease. Semin Respir Crit Care Med 2013;34:110-23 - PubMed
-
- Ray CG, Ryan KJ. eds. Sherris Medical Microbiology, 4th Edition. McGraw-Hill Medical, 2004.
-
- Jarlier V, Nikaido H.Mycobacterial cell wall: structure and role in natural resistance to antibiotics. FEMS Microbiol Lett 1994;123:11-8 - PubMed
-
- Schulze-Röbbecke R, Janning B, Fischeder R.Occurrence of mycobacteria in biofilm samples. Tuber Lung Dis 1992;73:141-4 - PubMed
-
- Falkinham JO., 3rd Growth in catheter biofilms and antibiotic resistance of Mycobacterium avium. J Med Microbiol 2007;56:250-4 - PubMed
Publication types
LinkOut - more resources
Full Text Sources
Other Literature Sources
Medical