Classifying extrahepatic bile duct metachronous carcinoma by de novo neoplasia site
- PMID: 24659897
- PMCID: PMC3961975
- DOI: 10.3748/wjg.v20.i11.3050
Classifying extrahepatic bile duct metachronous carcinoma by de novo neoplasia site
Abstract
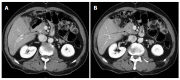
Extrahepatic bile duct (EHBD) cancer may occur metachronously, and these cancers are resectable with a favorable prognosis. We aimed to identify the pattern of metachronous EHBD cancer. We classified the cases of metachronous EHBD cancer reported in the literature thus far and investigated two new cases of metachronous EHBD cancer. A 70-year-old female underwent R0 bile duct resection for a type 1 Klatskin tumor (pT1N0M0). A 70-year-old male patient underwent R0 bile duct resection for a middle bile duct cancer (pT2N1M0). Imaging studies of both patients taken at 14 and 24 mo after first surgery respectively revealed a metachronous cholangiocarcinoma that required pancreaticoduodenectomy (PD). Histopathology of the both tumors after PD revealed cholangiocarcinoma invading the pancreas (pT3N0M0). Both patients have been free from recurrence for 6 years and 16 mo respectively after the second surgery. Through a review of the literature on these cases, we classified the pattern of metachronous EHBD cancer according to the site of de novo neoplasia. The proximal remnant bile duct was most commonly involved. Metachronous EHBD cancer should be distinguished from an unresectable recurrent tumor. Classifying metachronous EHBD cancer may be helpful in identifying rare metachronous tumors.
Keywords: Cancer; Extrahepatic bile duct; Metachronous; Prognosis; Recurrence.
Figures
References
-
- Gertsch P, Thomas P, Baer H, Lerut J, Zimmermann A, Blumgart LH. Multiple tumors of the biliary tract. Am J Surg. 1990;159:386–388. - PubMed
-
- Chijiiwa K. Synchronous carcinoma of the gall-bladder in patients with bile duct carcinoma. Aust N Z J Surg. 1993;63:690–692. - PubMed
-
- Kozuka S, Tsubone M, Hachisuka K. Evolution of carcinoma in the extrahepatic bile ducts. Cancer. 1984;54:65–72. - PubMed
-
- Merenda R, Portale G, Sturniolo GC, Marciani F, Faccioli AM, Ancona E. A rare surgical case of metachronous double carcinoma of the biliary tract. Scand J Gastroenterol. 2007;42:1265–1268. - PubMed
-
- Warren S, Gates O. Multiple primary malignant tumors. A survey of the literature and a statistical study. Am J Cancer. 1932;16:1358–1414.
Publication types
MeSH terms
LinkOut - more resources
Full Text Sources
Other Literature Sources
Medical
