Chondrosarcoma of body of the mandible
- PMID: 24665186
- PMCID: PMC3961905
- DOI: 10.4103/0975-5950.127661
Chondrosarcoma of body of the mandible
Abstract
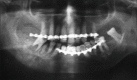
Chondrosarcomas are the malignant cartilaginous neoplasms rarely seen in the head and neck region. The chondrosarcomas may show an aggressive course and are mostly located in relation with anterior maxilla and base of the skull. Chondrosarcomas of the body of mandible are infrequent. We report a case of low-grade chondrosarcoma of body of mandible, which was treated with a simple excision without neck dissection.
Keywords: Chondrosarcoma; mandible; maxilla; tumor.
Conflict of interest statement
Figures



References
-
- Rajendran R, Sivapathasundharam B. Shafer's Textbook of Oral Pathology. 6th ed. India: Elsevier; 2009.
-
- Izadi K, Lazow SK, Solomon MP, Berger JR. Chondrosarcoma of the anterior mandible. A case report. N Y State Dent J. 2000;66:32–4. - PubMed
-
- Saito K, Unni KK, Wollan PC, Lund BA. Chondrosarcoma of the jaws and facial bones. Cancer. 1995;76:1550–8. - PubMed
-
- Fronstin MH, James MD, Hutcheson JB, Sanders HL. Chondrosarcoma of the mandibular symphysis. Report of a case. Oral Surg Oral Med Oral Pathol. 1968;25:665–9. - PubMed
-
- Ruark DS, Schlehaider UK, Shah JP. Chondrosarcomas of the head and neck. World J Surg. 1992;16:1010–6. - PubMed
Publication types
LinkOut - more resources
Full Text Sources
Other Literature Sources