A rare case of necrotic thymoma
Abstract
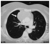
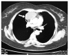
The Authors report the case of a patient who underwent resection of a huge anterior mediastinal mass, revealing to be a necrotic thymoma. The patient had been previously submitted to surgical biopsies of the mass yielding non-diagnostic results due to extensive necrosis. A sternotomy was then performed to resect the mediastinal mass originating from the thymus, en-bloc with the mediastinal fat and the apparently infiltrated lung. Histopathology showed a possible cyst/thymoma in massive necrosis, not further definable; revision by a specialized experienced pathologist (J. Rosai) confirmed total mass necrosis and no lung infiltration, thus orientating diagnosis towards a necrotic thymoma and excluding a lymphoblastic lymphoma, with similar histopathological features but more frequent in children or characterized by neoplastic infiltration of surrounding lung. Total body computed tomography (CT) scan and fluorodeoxyglucose positron emission tomography (18F-FDG-PET)/CT, show neither local recurrence, nor distant metastases two years after surgery. In case of anterior mediastinal mass with difficult histopathological diagnosis due to massive necrosis, the hypothesis of a necrotic thymoma should be considered. After radical removal prognosis is generally favourable and no adjuvant treatment is required.
Figures




References
-
- Srirajaskanthana R, Toubanakisa C, Dusmetb M, Caplina ME. A review of thymic tumours. Lung Cancer. 2008;60:4–13. - PubMed
-
- Duwe BV, Sterman DH, Musani AI. Tumors of the mediastinum. Chest. 2005;128(4):2893–909. - PubMed
-
- Rosai J, Sobin L. Histological typing of tumours of the thymus. In: Rosai J, Sobin L, editors. World Health Organization, international histological classification of tumours. Berlin, New York: Springer; 1999. pp. 9–14.
-
- Müller-Hermelink HK, Ströbel P, Zettl A, et al. Combined thymic epithelial tumours. In: Travis WD, Brambilla E, Müller-Hermelink HK, Harris CC, editors. Pathology and genetics of tumours of the lung, pleura, thymus and heart (WHO classification of tumours series) Lyon, France: IARC Press; 2004. pp. 196–8.
-
- Detterbeck FC. Clinical value of the WHO classification system of thymoma. Ann Thorac Surg. 2006;81:2328–34. - PubMed
Publication types
MeSH terms
LinkOut - more resources
Full Text Sources
Medical
Research Materials