GATA4 mutations are a cause of neonatal and childhood-onset diabetes
- PMID: 24696446
- PMCID: PMC6850908
- DOI: 10.2337/db14-0061
GATA4 mutations are a cause of neonatal and childhood-onset diabetes
Abstract
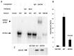
The GATA family zinc finger transcription factors GATA4 and GATA6 are known to play important roles in the development of the pancreas. In mice, both Gata4 and Gata6 are required for pancreatic development. In humans, GATA6 haploinsufficiency can cause pancreatic agenesis and heart defects. Congenital heart defects also are common in patients with GATA4 mutations and deletions, but the role of GATA4 in the developing human pancreas is unproven. We report five patients with deletions (n = 4) or mutations of the GATA4 gene who have diabetes and a variable exocrine phenotype. In four cases, diabetes presented in the neonatal period (age at diagnosis 1-7 days). A de novo GATA4 missense mutation (p.N273K) was identified in a patient with complete absence of the pancreas confirmed at postmortem. This mutation affects a highly conserved residue located in the second zinc finger domain of the GATA4 protein. In vitro studies showed reduced DNA binding and transactivational activity of the mutant protein. We show that GATA4 mutations/deletions are a cause of neonatal or childhood-onset diabetes with or without exocrine insufficiency. These results confirm a role for GATA4 in normal development of the human pancreas.
© 2014 by the American Diabetes Association. Readers may use this article as long as the work is properly cited, the use is educational and not for profit, and the work is not altered.
Conflict of interest statement
No potential conflicts of interest relevant to this article were reported.
Figures



References
-
- Garg V, Kathiriya IS, Barnes R, Schluterman MK, King IN, Butler CA, Rothrock CR, Eapen RS, Hirayama-Yamada K, Joo K, Matsuoka R, et al. GATA4 mutations cause human congenital heart defects and reveal an interaction with TBX5. Nature. 2003;424:443–447. - PubMed
-
- Nemer G, Fadlalah F, Usta J, Nemer M, Dbaibo G, Obeid M, Bitar F. A novel mutation in the GATA4 gene in patients with Tetralogy of Fallot. Hum Mutat. 2006;27:293–294. - PubMed
Publication types
MeSH terms
Substances
Grants and funding
LinkOut - more resources
Full Text Sources
Other Literature Sources
Medical