Osteosarcoma of the mandible: A case report with an early radiographic manifestation
- PMID: 24701464
- PMCID: PMC3972412
- DOI: 10.5624/isd.2014.44.1.85
Osteosarcoma of the mandible: A case report with an early radiographic manifestation
Abstract
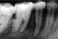
Osteosarcoma is a classical malignant bone-forming neoplasm which usually presents with an aggressive clinical course. The current case is presented with the radiographic feature of widening of the periodontal ligament space of the involved teeth, which is considered to be the earliest radiographic manifestation of osteosarcoma involving the jaw bone. The main aim of this case report was to focus on the importance of early diagnosis of this tumor based on clinical and radiographic examinations, and confirmation by histopathology. Considering the rarity of the disease type and particularly taking into account the fast progression and aggressiveness of this neoplasm, it is clear that the presentation of a clinical case represents a major contribution to better understanding of osteosarcomas involving the jaw bone.
Keywords: Jaw; Neoplasms; Osteosarcoma.
Figures
References
-
- Khorate MM, Goel S, Singh MP, Ahmed J. Osteosarcoma of mandible: a case report and review of literature. J Cancer Sci Ther. 2010;2:122–125.
-
- Ong ST, Shim CK, Ng KH, Siar CH. Osteosarcoma presenting as an aggressive nodular mass in the region of the mandible. J Oral Sci. 2004;46:55–59. - PubMed
-
- Neville BW, Damm DD, Allen CM, Bouquot JE. Oral and maxillofacial pathology. 3rd ed. St. Louis: Saunders/Elsevier; 2009. pp. 517–519.
-
- Donaldson ME, Geist JR, Daley TD. Osteosarcoma of the jaws in children. Int J Paediatr Dent. 2004;14:54–60. - PubMed
-
- Bras JM, Donner R, van der Kwast WA, Snow GB, van der Waal I. Juxtacortical osteogenic sarcoma of the jaws. Review of the literature and report of a case. Oral Surg Oral Med Oral Pathol. 1980;50:535–544. - PubMed
Publication types
LinkOut - more resources
Full Text Sources
Other Literature Sources
