Spontaneous regression after extensive recurrence of a pediatric cervical spine aneurysmal bone cyst
- PMID: 24707421
- PMCID: PMC3970344
- DOI: 10.1155/2014/291674
Spontaneous regression after extensive recurrence of a pediatric cervical spine aneurysmal bone cyst
Abstract
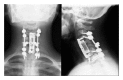
Aneurysmal bone cyst is a pseudotumoral lesion. Complete resection prior to selective arterial embolization seems to be the treatment of choice for the more extensive and destructive lesions. In these cases maintaining stability of the cervical spine is critical. This can be very challenging in children and adolescents in whom the axial skeleton is still growing. In this case a young girl presented with a voluminous cervical aneurysmal bone cyst encaging both vertebral arteries and spinal cord. The lesion was treated with aggressive surgical resection, followed by cervical vertebral fusion with instrumentation. After nine months the patient referred no pain and no neurological deficit. MRI scans showed an extensive local recurrence. The family of the young girl refused any other therapy and any other followup. The patients returned to our attention after five years with no pain and neurological deficit. Cervical spine radiographs and MRI scans showed a complete regression of the extensive local recurrence. In the literature, the possibility of spontaneous regression of residual part or local recurrence is reported. The case of this young girl provided the chance to attend a spontaneous regression in an extensive recurrence of aneurismal bone cyst.
Figures
References
-
- Aho HJ, Aho AJ, Einola S. Aneurysmal bone cyst, a study of ultrastructure and malignant transformation. Virchows Archiv a Pathological Anatomy and Histology. 1982;395(2):169–179. - PubMed
-
- Buraczewski J, Dabska M. Pathogenesis of aneurysmal bone cyst. Relationship between the aneurysmal bone cyst and fibrous dysplasia of bone. Cancer. 1971;28(3):597–604. - PubMed
-
- Burch S, Hu S, Berven S. Aneurysmal bone cysts of the spine. Neurosurgery Clinics of North America. 2008;19(1):41–47. - PubMed
-
- Jaffe HL. Aneurysmal bone cyst. Bulletin of the Hospital for Joint Diseases. 1950;11(1):3–13. - PubMed
-
- Lichtenstein L. Aneurysmal bone cyst: observations on fifty cases. The Journal of Bone & Joint Surgery. 1957;39:873–882. - PubMed
LinkOut - more resources
Full Text Sources
Other Literature Sources
