Epipericardial fat necrosis: an underdiagnosed condition
- PMID: 24707937
- PMCID: PMC4075564
- DOI: 10.1259/bjr.20140118
Epipericardial fat necrosis: an underdiagnosed condition
Abstract
Objective: Epipericardial fat necrosis (EFN) is an uncommon benign and self-limited condition that leads patients to the emergency department (ED) owing to the onset of acute pleuritic chest pain. The aim of this study was to describe the cases of this disease in our institution and to illustrate the associated clinical and radiological findings.
Methods: We reviewed 3604 chest scans referred by the ED from November 2011 to July 2013. Patients diagnosed with epipericardial necrosis had their medical records and original tomography reports analysed.
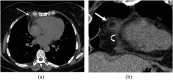
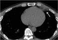
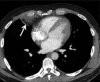
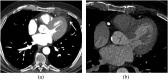
Results: Chest pain was the primary complaint in 426 patients; 11 of them had definitive EFN findings characterized by a round soft-tissue attenuation lesion with a varying degree of strands. All patients presented with pleuritic chest pain on the same side as the lesion. Pericardial thickening, pleural effusion and mild atelectasis were the associated tomography findings. Cardiac enzyme and D-dimer tests performed during the episode were normal in all cases. 27% of the cases only were correctly diagnosed with EFN at the time of presentation.
Conclusion: EFN is a benign inflammatory condition frequently overlooked in the ED by physicians and radiologists but is an important factor in the differential diagnosis of patients with acute chest pain.
Advances in knowledge: The article adds clinically and radiologically useful information about the condition and displays the importance of making the correct diagnosis to avoid unnecessary examinations.
Figures






References
MeSH terms
Substances
LinkOut - more resources
Full Text Sources
Other Literature Sources
Medical