Skip to main page content
U.S. flag

An official website of the United States government

Dot gov

The .gov means it’s official.
Federal government websites often end in .gov or .mil. Before sharing sensitive information, make sure you’re on a federal government site.

Https

The site is secure.
The https:// ensures that you are connecting to the official website and that any information you provide is encrypted and transmitted securely.

Access keys NCBI Homepage MyNCBI Homepage Main Content Main Navigation
Case Reports
. 2012;25(4):361-364.

Recurrent pneumonia and colobronchial fistula from Crohn's disease: Infliximab alters and simplifies surgical management

Affiliations
Case Reports

Recurrent pneumonia and colobronchial fistula from Crohn's disease: Infliximab alters and simplifies surgical management

Nuria Rosa Mercadal et al. Ann Gastroenterol. 2012.

Abstract

We report a rare case of right-sided colobronchial fistula in a 47-year-old, severely malnourished male with a history of regional enteritis and recurrent right lower and middle lobe pneumonias medically managed with the addition of the immunomodulator infliximab prior to surgery. On admission, evaluation of sputum cultures and chest radiograph pattern of pneumonia led to the suspicion of colobronchial fistula. This diagnosis was confirmed by abdominal CT enteroclysis. This patient's pneumonia was initially treated with empiric antibiotics, then focused antibiotics based on culture results. The treatment for the regional enteritis and the secondary colobronchial fistula consisted of immunosuppression with infliximab, bowel rest, and total parenteral nutrition. The patient was discharged on a limited course of prednisone and received maintenance therapy with 3mg/kg IV infliximab infusions for four additional treatments with dramatic improvement in his clinical condition. Surgical therapy consisted of only bowel resection; no thoracic surgery or lung resection was necessary. The patient has had a dramatic improvement in his clinical condition and is currently disease-free on no maintenance therapy. The use of TNF-blocking agents such as infliximab may simplify the surgical approach in patients with complicated fistulous Crohn's disease.

Keywords: Crohn’s disease; colobronchial fistula; infliximab.

PubMed Disclaimer

Conflict of interest statement

Conflict of Interest: None

Figures

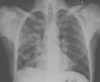
Figure 1
Figure 1
Initial chest radiograph. Increasing areas of confluent airspace disease involving the right middle and lower lobes and stable patchy airspace opacities involving both lungs with stable reactive lymphadenopathy
Figure 2
Figure 2
CT enterography. Colobronchial fistula tract (arrows) coursing from hepatic flexure and extending on the liver anteriorly and eventually communicating to right lower lobe bronchus with surrounding lung consolidation. Figures A and B demonstrate gastrointestinal contrast in the lung parenchyma. Figures C and D show fistula tract containing contrast from colon over the right lobe of the liver
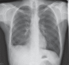
Figure 3
Figure 3
Chest radiograph after recovery

References

    1. Loftus EV, Jr, Schoenfeld P, Sandborn WJ. The epidemiology and natural history of Crohn's disease in population-based patient cohorts from North America: a systematic review. Aliment Pharmacol Ther. 2002;16:51–60. - PubMed
    1. Nielsen OH, Rogler G, Hahnloser D, Thomsen OO. Diagnosis and management of fistulizing Crohn's disease. Nat Clin Pract Gastroenterol Hepatol. 2009;6:92–106. - PubMed
    1. Schwartz DA, Loftus EV, Jr, Tremaine WJ, et al. The natural history of fistulizing Crohn's disease in Olmsted County, Minnesota. Gastroenterology. 2002;122:875–880. - PubMed
    1. Bruining DH, Siddiki HA, Fletcher JG, et al. Prevalence of penetrating disease and extraintestinal manifestations of Crohn's disease detected with CT enterography. Inflamm Bowel Dis. 2008;14:1701–1706. - PubMed
    1. Booya F, Akram S, Fletcher JG, et al. CT enterography and fistulizing Crohn's disease: clinical benefit and radiographic findings. Abdom Imaging. 2009;34:467–475. - PubMed

Publication types

LinkOut - more resources