Chemotherapy improved prognosis of mesenchymal chondrosarcoma with rare metastasis to the pancreas
- PMID: 24716041
- PMCID: PMC3970347
- DOI: 10.1155/2014/249757
Chemotherapy improved prognosis of mesenchymal chondrosarcoma with rare metastasis to the pancreas
Abstract
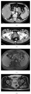
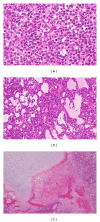
Extraskeletal mesenchymal chondrosarcoma is rare and metastasis to the pancreas is extremely rare, with only four cases reported in the literature. The therapeutic effectiveness of chemotherapy remains uncertain. We report a 39-year-old man with extraskeletal mesenchymal chondrosarcoma of the buttock, who had metastases to the pancreas, bones, and lung. He underwent distal pancreatectomy, resection of the buttock tumor, and chemotherapy. He had a good response to chemotherapy and survived for about 3 years after surgery.
Figures




References
-
- Nakashima Y, de Pinieux G, Ladanyi M. WHO Classification of Tumours of Soft Tissue and Bone. Lyon, France: IARC; 2013. Mesenchymal chondrosarcoma; pp. 271–272.
-
- Kasper Z, Carlos F, David W, Honorio S, Andrew L. Metastases to the pancreas and their surgical extirpation. Archives of Surgery. 1998;133(4):413–417. - PubMed
-
- Komatsu T, Taira S, Matsui O, Takashima T, Note M, Fujita H. A case of ruptured mesenchymal chondrosarcoma of the pancreas. Radiation Medicine. 1999;17(3):239–241. - PubMed
-
- Yamamoto H, Watanabe K, Nagata M, et al. Surgical treatment for pancreatic metastasis from soft-tissue sarcoma. The American Journal of Clinical Oncology. 2001;24(2):198–200. - PubMed
-
- Chatzipantelis P, Karvouni E, Fragoulidis GP, Voros D, Pafiti A. Clinicopathologic features of two rare cases of mesenchymal metastatic tumors in the pancreas: review of the literature. Pancreas. 2006;33(3):301–303. - PubMed
LinkOut - more resources
Full Text Sources
Other Literature Sources