A large kindred of pulmonary fibrosis associated with a novel ABCA3 gene variant
- PMID: 24730976
- PMCID: PMC4021316
- DOI: 10.1186/1465-9921-15-43
A large kindred of pulmonary fibrosis associated with a novel ABCA3 gene variant
Abstract
Background: Interstitial lung disease occurring in children is a condition characterized by high frequency of cases due to genetic aberrations of pulmonary surfactant homeostasis, that are also believed to be responsible of a fraction of familial pulmonary fibrosis. To our knowledge, ABCA3 gene was not previously reported as causative agent of fibrosis affecting both children and adults in the same kindred.
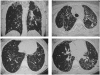
Methods: We investigated a large kindred in which two members, a girl whose interstitial lung disease was first recognized at age of 13, and an adult, showed a diffuse pulmonary fibrosis with marked differences in terms of morphology and imaging. An additional, asymptomatic family member was detected by genetic analysis. Surfactant abnormalities were investigated at biochemical, and genetic level, as well as by cell transfection experiments.
Results: Bronchoalveolar lavage fluid analysis of the patients revealed absence of surfactant protein C, whereas the gene sequence was normal. By contrast, sequence of the ABCA3 gene showed a novel homozygous G > A transition at nucleotide 2891, localized within exon 21, resulting in a glycine to aspartic acid change at codon 964. Interestingly, the lung specimens from the girl displayed a morphologic usual interstitial pneumonitis-like pattern, whereas the specimens from one of the two adult patients showed rather a non specific interstitial pneumonitis-like pattern.
Conclusions: We have detected a large kindred with a novel ABCA3 mutation likely causing interstitial lung fibrosis affecting either young and adult family members. We suggest that ABCA3 gene should be considered in genetic testing in the occurrence of familial pulmonary fibrosis.
Figures
References
Publication types
MeSH terms
Substances
LinkOut - more resources
Full Text Sources
Other Literature Sources
Medical
Molecular Biology Databases
