Simultaneous liver mucinous cystic and intraductal papillary mucinous neoplasms of the bile duct: a case report
- PMID: 24744602
- PMCID: PMC3983469
- DOI: 10.3748/wjg.v20.i14.4102
Simultaneous liver mucinous cystic and intraductal papillary mucinous neoplasms of the bile duct: a case report
Abstract
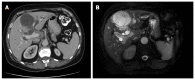
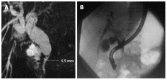
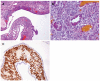
Cystic hepatic neoplasms are rare tumors, and are classified into two separate entities: mucinous cystic neoplasms (MCNs) and intraductal papillary mucinous neoplasms of the bile duct (IPMN-B). We report the case of a 56-year-old woman who presented with abdominal pain and jaundice due to the presence of a large hepatic multilocular cystic tumor associated with an intraductal tumor. Partial hepatectomy with resection of extrahepatic bile ducts demonstrated an intrahepatic MCN and an intraductal IPMN-B. This is the first report of the simultaneous occurrence of these two histologically distinct entities in the liver.
Keywords: Intraductal papillary mucinous neoplasm of the bile duct; Liver; Mucinous cystic neoplasm.
Figures




References
-
- Tsui WMS, Adsay NV, Crawford JM. Mucinous cystic neoplasms of the liver. In: Bosman FT, Carneiro F, Hruban RH, Theise ND (eds), editors. World Health Organization Classification of Tumours. Pathology and Genetics of Tumours of the Digestive System. Lyon: IARC Press; 2010. pp. 236–238.
-
- Chen TC, Nakanuma Y, Zen Y, Chen MF, Jan YY, Yeh TS, Chiu CT, Kuo TT, Kamiya J, Oda K, et al. Intraductal papillary neoplasia of the liver associated with hepatolithiasis. Hepatology. 2001;34:651–658. - PubMed
-
- Zen Y, Pedica F, Patcha VR, Capelli P, Zamboni G, Casaril A, Quaglia A, Nakanuma Y, Heaton N, Portmann B. Mucinous cystic neoplasms of the liver: a clinicopathological study and comparison with intraductal papillary neoplasms of the bile duct. Mod Pathol. 2011;24:1079–1089. - PubMed
-
- Matsubara T, Sato Y, Sasaki M, Harada K, Nomoto K, Tsuneyama K, Nakamura K, Gabata T, Matsui O, Nakanuma Y. Immunohistochemical characteristics and malignant progression of hepatic cystic neoplasms in comparison with pancreatic counterparts. Hum Pathol. 2012;43:2177–2186. - PubMed
Publication types
MeSH terms
LinkOut - more resources
Full Text Sources
Other Literature Sources
Medical