Spinous process osteotomy to facilitate the access to the spinal canal when decompressing the spinal canal in patients with lumbar spinal stenosis
- PMID: 24761194
- PMCID: PMC3996336
- DOI: 10.4184/asj.2014.8.2.138
Spinous process osteotomy to facilitate the access to the spinal canal when decompressing the spinal canal in patients with lumbar spinal stenosis
Abstract
Study design: Retrospective study.
Purpose: The main purpose of this study was to investigate the union-rate of the spinous process after performing a spinous process osteotomy and whether union affects the clinical results after surgery.
Overview of literature: In the present study, spinous process osteotomy was used to facilitate access to the spinal canal when performing a decompressive procedure for lumbar spinal stenosis. The aim of this study was to evaluate the union rate of the spinous process and its effect on the clinical results of the procedure.
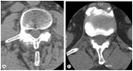
Methods: All patients were included in the study that underwent a decompressive procedure through spinous process osteotomy be between January 1, 2007 and December 31, 2007. Operation protocols were reviewed. A computed tomography (CT) scan was performed to evaluate the union of the osteotomies of the spinous process. According to the CT-scans, patients were divided into three groups: "complete-union," "partial-union," and "non-union." Patients reported their clinical results through a self-administered questionnaire.
Results: The mean period of follow up was 21.6 months (range, 16-28 months). A total of 44% of the performed osteotomies were considered as united. Ten patients (18%) were classified as "complete-union," 30 patients (55%) as "partial-union," and 15 patients (27%) as "non-union." The "complete-union" group showed better clinical results and scored significantly better in the Oswestry Disability Index and EQ-5D. However, no statistical difference was found in the pain-scores. There were no differences between the "partial-union" group and the "no-union" group.
Conclusions: We found a radiologic union for 60 out of 135 (44%) spinous process osteotomies.
Keywords: Osteotomy; Spinal stenosis.
Conflict of interest statement
No potential conflict of interest relevant to this article was reported.
Figures
References
-
- Ciol MA, Deyo RA, Howell E, Kreif S. An assessment of surgery for spinal stenosis: time trends, geographic variations, complications, and reoperations. J Am Geriatr Soc. 1996;44:285–290. - PubMed
-
- Amundsen T, Weber H, Nordal HJ, Magnaes B, Abdelnoor M, Lilleas F. Lumbar spinal stenosis: conservative or surgical management? A prospective 10-year study. Spine (Phila Pa 1976) 2000;25:1424–1435. - PubMed
-
- Atlas SJ, Keller RB, Wu YA, Deyo RA, Singer DE. Long-term outcomes of surgical and nonsurgical management of lumbar spinal stenosis: 8 to 10 year results from the maine lumbar spine study. Spine (Phila Pa 1976) 2005;30:936–943. - PubMed
-
- Malmivaara A, Slatis P, Heliovaara M, et al. Surgical or nonoperative treatment for lumbar spinal stenosis? A randomized controlled trial. Spine (Phila Pa 1976) 2007;32:1–8. - PubMed
LinkOut - more resources
Full Text Sources
Other Literature Sources
Research Materials
