Peritoneal carcinomatosis mimicking a perforated diverticulitis
- PMID: 24765268
- PMCID: PMC3981210
- DOI: 10.4081/cp.2011.e14
Peritoneal carcinomatosis mimicking a perforated diverticulitis
Abstract
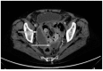
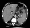
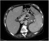
We report the case of a patient with a pelvic abscess and a malignant pancreatic tumor. The management of this complicated diverticulitis included radiological drainage and surgery. This abscess was due to a peritoneal carcinomatosis originating from the pancreas, which is an extremely rare cause of intestinal perforation.
Keywords: carcinomatosis; pelvic abscess; perforation..
Conflict of interest statement
Conflict of interest: the authors report no conflicts of interest.
Figures
References
-
- Sadeghi B, Arvieux C, Glehen O, et al. Peritoneal carcinomatosis from non-gynecologic malignancies: results of the EVO-CAPE 1 multicentric prospective study. Cancer. 2000;88:358–63. - PubMed
-
- Glehen O, Osinsky D, Beaujard AC, Gilly FN. Natural history of peritoneal carcinomatosis from nongynecologic malignancies. Surg Oncol Clin N Am. 2003;12:729–39. - PubMed
-
- Cheynel N, Cortet M, Lepage C, et al. Incidence, patterns of failure, and prognosis of perforated colorectal cancers in a well-defined population. Dis Colon Rectum. 2009;52:406–11. - PubMed
Publication types
LinkOut - more resources
Full Text Sources
