Lobar flexible fiberoptic lung lavage: therapeutic benefit in severe respiratory failure in pulmonary alveolar proteinosis and influenza A H1N1 pneumonia
- PMID: 24765314
- PMCID: PMC3981374
- DOI: 10.4081/cp.2011.e53
Lobar flexible fiberoptic lung lavage: therapeutic benefit in severe respiratory failure in pulmonary alveolar proteinosis and influenza A H1N1 pneumonia
Abstract
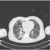
Lobar fiberoptic lung lavage is a well-known procedure used in primary pulmonary alveolar proteinosis (PAP); the use of this procedure has increased in the recent years. This procedure has also been used in other pulmonary diseases such as desquamative interstitial pneumonia with good results. We describe a case of extremely severe respiratory failure due to concurrence of PAP and Influenza A H1N1 virus pneumonia which resolved with the help of this procedure. The patient, a 41-year-old woman, needed less mechanical ventilation after undergoing lobar fiberoptic bronchoscopic lavage. Moreover, a rapid and progressive improvement in the computed tomography of the lungs was observed. Flexibile fiberoptic bronchoscopic lobar lavage is a simple, safe procedure used not only in milder disease, but also in particular severe cases in which the physiological derangement of whole lung lavage would not be tolerated by patient or when extra-corporeal membrane oxygenation is not available.
Keywords: influenza A H1N1 pneumonia.; lexible fiberoptic lobar bronchoscopic lavage; pulmonary alveolar proteinosis.
Conflict of interest statement
Conflict of interest: the authors report no conflicts of interest.
Figures
References
-
- Cheng SL, Chang HT, Lau HP, et al. Pulmonary alveolar proteinosis: treatment by bronchofiberscopic lobar lavage. Chest. 2002;122:1480–5. - PubMed
-
- Harris JO, Castel JR, Swenson EW, Block AJ. Lobar lavage: therapeutic benefit in pulmonary alveolar filling disorder. Chest. 1974;65:655–9. - PubMed
-
- Froudarakis ME, Koutsopoulos A, Mihailidou HP. Total lung lavage by awake flexible fiberoptic bronchoscope in 13-year-old girl with pulmonary alveolar proteinosis. Resp Med. 2007;101:366–9. - PubMed
-
- Brach BB, Harrel JH, Moser KM. Alveolar proteinosis. Lobar lavage by fiberoptic bronchoscope technique. Chest. 1976;69:224–7. - PubMed
-
- Ramirez J. Bronchopulmonary lavage. New techniques and observations. Dis Chest. 1966;50:581–8. - PubMed
Publication types
LinkOut - more resources
Full Text Sources
Research Materials
