Skip to main page content
U.S. flag

An official website of the United States government

Dot gov

The .gov means it’s official.
Federal government websites often end in .gov or .mil. Before sharing sensitive information, make sure you’re on a federal government site.

Https

The site is secure.
The https:// ensures that you are connecting to the official website and that any information you provide is encrypted and transmitted securely.

Access keys NCBI Homepage MyNCBI Homepage Main Content Main Navigation
Review
. 2013 Nov 12:16:94.
doi: 10.11604/pamj.2013.16.94.3430. eCollection 2013.

[Tuberculous endometritis: about a case and review of the literature]

[Article in French]
Affiliations
Review

[Tuberculous endometritis: about a case and review of the literature]

[Article in French]
Kamilia Laabadi et al. Pan Afr Med J. .

Abstract

La tuberculose constitue encore un problème de santé préoccupant, aussi bien dans les pays en voie de développement que dans les pays développés, en partie du fait de l’éclosion de l’épidémie mondiale de l’infection par le virus de l’immunodéficience humaine. Dans sa localisation génitale assez rare (6-10% des localisations tuberculeuses), la tuberculose pose des problèmes diagnostiques. Les symptômes communément rencontrés sont non spécifiques, ce qui contribue au retard thérapeutique et majore le risque d’infertilité qui reste la séquelle quasi inéluctable. A travers une observation d’endométrite tuberculeuse et une revue de la littérature nous étudions les aspects épidémio-cliniques, thérapeutiques et pronostiques de cette localisation tuberculeuse.

Keywords: endometritis; genital tuberculosis; infertility.

PubMed Disclaimer

Figures

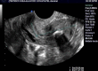
Figure 1
Figure 1
Aspect échographique montrant la ligne d’interface suivie jusqu’au fond où on note la présence d’une image hyperéchogène avec cône d’ombre postérieur (4,58mm)
Figure 2
Figure 2
Aspect hystérosalpingographique en faveur d’une synéchie utérine totale, seul 1,5 cm de cette portion cervicale utérine
Figure 3
Figure 3
Aspect hystéroscopique de la synéchie utérine infranchissable
Figure 4
Figure 4
À la résection hystéroscopique, issue d’un enduit blanchâtre faisant évoquer en premier du caséum

References

    1. Elbahraoui H, Elmazghi A, Bouziane H, et al. Postmenopausal tuberculous endometritis simulating endometrial cancer: report of a case. Pan Afr Med J. 2012;11:7. - PMC - PubMed
    1. Genet C, Ducroix-Roubertou S, Gondran G, et al. Post-menopausal endometrial tuberculosis. J Gynecol Obstet Biol Reprod (Paris) 2006 Feb;35(1):71–3. - PubMed
    1. Lefriyekh MR, Louzi A, El Idrissi AD, et al. La forme tumorale de la tuberculose génitale de la femme. Médecine du Maghreb. 2006;141:25–27.
    1. Ravelosoa E, Randrianantoanina F, Rakotosalama D, et al. Madagascar: Courte note clinique; 2006. La tuberculose génitale chez la femme : à propos de 11 cas suivis à Antananarivo; p. 2902. - PubMed
    1. BLANC – A propos de la tuberculose génitale féminine d’aujourd’hui. Problèmes diagnostiques et thérapeutiques. Journal de Médecine de Lyon. 1967;48:915–927. - PubMed

LinkOut - more resources