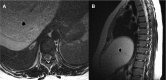
CSF pseudocyst: an unusual cause of back pain
- PMID: 24777079
- PMCID: PMC4009830
- DOI: 10.1136/bcr-2013-203060
CSF pseudocyst: an unusual cause of back pain
Figures


References
-
- Dabdoub CB, Dabdoub CF, Chavez M, et al. Abdominal cerebrospinal fluid pseudocyst: a comparative analysis between children and adults. Childs Nerv Syst 2014;30:579–89 - PubMed
-
- Ohba S, Kinoshita Y, Tsutsui M, et al. Formation of abdominal cerebrospinal fluid pseudocyst. Neurol Med Chir 2012:52:838–42 - PubMed
-
- Chick JF, Chauhan NR, Mullen KM, et al. Teaching NeuroImages: massive abdominal CSFoma. Neurology 2013;80:e146. - PubMed
Publication types
MeSH terms
LinkOut - more resources
Full Text Sources
Other Literature Sources
Medical