Orbital inflammatory disease: Pictorial review and differential diagnosis
- PMID: 24778772
- PMCID: PMC4000606
- DOI: 10.4329/wjr.v6.i4.106
Orbital inflammatory disease: Pictorial review and differential diagnosis
Abstract
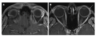
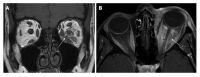
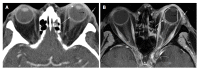
Orbital inflammatory disease (OID) represents a collection of inflammatory conditions affecting the orbit. OID is a diagnosis of exclusion, with the differential diagnosis including infection, systemic inflammatory conditions, and neoplasms, among other conditions. Inflammatory conditions in OID include dacryoadenitis, myositis, cellulitis, optic perineuritis, periscleritis, orbital apicitis, and a focal mass. Sclerosing orbital inflammation is a rare condition with a chronic, indolent course involving dense fibrosis and lymphocytic infiltrate. Previously thought to be along the spectrum of OID, it is now considered a distinct pathologic entity. Imaging plays an important role in elucidating any underlying etiology behind orbital inflammation and is critical for ruling out other conditions prior to a definitive diagnosis of OID. In this review, we will explore the common sites of involvement by OID and discuss differential diagnosis by site and key imaging findings for each condition.
Keywords: Dacryoadenitis; Inflammation; Myositis; Nonspecific orbital inflammation; Optic perineuritis; Orbit; Orbital apicitis; Orbital cellulitis; Orbital inflammatory disease; Pseudotumor.
Figures













References
-
- Sepahdari AR, Aakalu VK, Setabutr P, Shiehmorteza M, Naheedy JH, Mafee MF. Indeterminate orbital masses: restricted diffusion at MR imaging with echo-planar diffusion-weighted imaging predicts malignancy. Radiology. 2010;256:554–564. - PubMed
-
- Yuen SJ, Rubin PA. Idiopathic orbital inflammation: distribution, clinical features, and treatment outcome. Arch Ophthalmol. 2003;121:491–499. - PubMed
-
- Gordon LK. Orbital inflammatory disease: a diagnostic and therapeutic challenge. Eye (Lond) 2006;20:1196–1206. - PubMed
Publication types
LinkOut - more resources
Full Text Sources
Other Literature Sources