Acoustic noise reduction in MRI using Silent Scan: an initial experience
- PMID: 24808439
- PMCID: PMC4463276
- DOI: 10.5152/dir.2014.13458
Acoustic noise reduction in MRI using Silent Scan: an initial experience
Abstract
Purpose: Acoustic noise during magnetic resonance imaging (MRI) is the main source for patient discomfort and leads to verbal communication problems, difficulties in sedation, and hearing impairment. Silent Scan technology uses less changes in gradient excitation levels, which is directly related to noise levels. Here, we report our preliminary experience with this technique in neuroimaging with regard to subjective and objective noise levels and image quality.
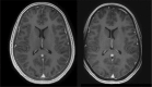
Materials and methods: Ten patients underwent routine brain MRI with 3 Tesla MR750w system and 12-channel head coil. T1-weighted gradient echo (BRAVO) and Silenz pulse sequence (TE=0, 3D radial center-out k-space filling and data sampling with relatively small gradient steps) were performed. Patients rated subjective sound impression for both sequences on a 6-point scale. Objective sound level measurements were performed with a dedicated device in gantry at different operation modes. Image quality was subjectively assessed in consensus by two radiologists on a 3-point scale.
Results: Readers rated image quality as fully diagnostic in all patients. Measured mean noise was reduced significantly with Silenz sequence (68.8 dB vs. 104.65 dB with BRAVO, P = 0.024) corresponding to 34.3% reduction in sound intensity and 99,97% reduction in sound pressure. No significant difference was observed between Silenz sound levels and ambient sounds (i.e., background noise in the scanner room, 68.8 dB vs. 68.73 dB, P = 0.5). The patients' subjective sound level score was lower for Silenz compared with conventional sequence (1.1 vs. 2.3, P = 0.003).
Conclusion: T1-weighted Silent Scan is a promising technique for acoustic noise reduction and improved patient comfort.
Figures
References
-
- McJury M, Shellock FG. Auditory noise associated with MR procedures: a review. J Magn Reson Imaging. 2000;12:37–45. - PubMed
-
- Moelker A, Maas RAJ, Pattynama PMT. Verbal communication in MR environments: effect of MR system acoustic noise on speech understanding. Radiology. 2004;232:107–113. - PubMed
-
- Ogurlu M, Orhan ME, Cinar S, et al. Effect of headphones on sevoflurane requirement for MRI. Pediatr Radiology. 2012;42:1432–1436. - PubMed
-
- Brummett RE, Talbot JM, Charuhas P. Potential hearing loss resulting from MR imaging. Radiology. 1988;169:539–540. - PubMed
-
- Madio DP, Lowe IJ. Ultra-fast imaging using low flip angles and FIDs. Magn Reson Med. 1995;34:525–529. - PubMed
MeSH terms
LinkOut - more resources
Full Text Sources
Other Literature Sources
Medical
Miscellaneous
