Evaluation of the usefulness of the MRI jelly method for diagnosing complete cul-de-sac obliteration
- PMID: 24812616
- PMCID: PMC4000936
- DOI: 10.1155/2014/437962
Evaluation of the usefulness of the MRI jelly method for diagnosing complete cul-de-sac obliteration
Abstract
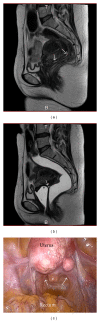
Objective: We conducted a single-center study to evaluate the usefulness of the magnetic resonance (MR) imaging jelly method for diagnosing endometriosis-associated adhesions in the Pouch of Douglas.
Methods: Thirty women with menstrual pain, dyspareunia, and chronic pelvic pain were enrolled in the study. All had been scheduled for laparoscopic surgery on the basis of pelvic and/or ultrasonographic (US) evaluation. All underwent MR imaging both with and without application of US jelly to the vagina and rectum. The images were compared and analyzed postsurgically in a random and blinded fashion by a radiology specialist and a radiology fellow. The radiologists' interpretations of the images were compared to the surgical findings recorded on DVDs.
Results: Adhesions in the Pouch of Douglas were found in 21 patients. The sensitivity and specificity of MR imaging without jelly administration were 85.7% and 55.6%, respectively, for the specialist and 81.0% and 55.6%, respectively, for the fellow; with jelly administration, values were 95.2% and 88.9% for the specialist and 90.5% and 66.7% for the fellow. Opacity produced by the jelly increased the sensitivity and specificity for both radiologists.
Conclusion: The MRI jelly method is a potentially useful, beneficial, and simple approach for diagnosing Pouch of Douglas adhesions.
Figures



References
-
- Nisolle M, Donnez J. Peritoneal endometriosis, ovarian endometriosis, and adenomyotic nodules of the rectovaginal septum are three different entities. Fertility and Sterility. 1997;68(4):585–596. - PubMed
-
- Koninckx PR, Martin DC. Deep endometriosis: a consequence of infiltration or retraction or possibly adenomyosis externa? Fertility and Sterility. 1992;58(5):924–928. - PubMed
-
- Reich H, McGlynn F, Salvat J. Laparoscopic treatment of cul-de-sac obliteration secondary to retrocervical deep fibrotic endometriosis. The Journal of Reproductive Medicine. 1991;36(7):516–522. - PubMed
-
- Johnston K, Rosen D, Cario G, et al. Major complications arising from 1265 operative laparoscopic cases: a prospective review from a single center. Journal of Minimally Invasive Gynecology. 2007;14(3):339–344. - PubMed
-
- Takeuchi H, Kuwatsuru R, Kitade M, et al. A novel technique using magnetic resonance imaging jelly for evaluation of rectovaginal endometriosis. Fertility and Sterility. 2005;83(2):442–447. - PubMed
MeSH terms
LinkOut - more resources
Full Text Sources
Other Literature Sources
Medical