Neurofibroma of the palate
- PMID: 24860683
- PMCID: PMC4016852
- DOI: 10.1155/2014/898505
Neurofibroma of the palate
Abstract
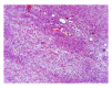
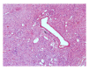
Neurofibroma is a benign peripheral nerve sheath tumor comprising variable mixture of Schwann cells, perineurial-like cells, and fibroblasts. Neurofibroma may occur as solitary lesion or as part of a generalised syndrome of neurofibromatosis or very rarely as multiple neurofibromas without any associated syndrome. There are two distinct variants of neurofibromatosis type I and type II. We present a case of neurofibroma of the hard palate associated with neurofibromatosis type I. The diagnosis of the lesion was made based on the clinical findings, family history, histopathology, and immunohistochemistry. Literature was reviewed and different types of neurofibroma, their incidence and frequency in the oral cavity, its association with neurofibromatosis, clinical manifestations, histopathologic characteristics, immunohistochemical analysis, behaviour, treatment, and recurrence are discussed.
Figures





References
-
- Barnes L. Surgical Pathology of the Head and Neck. 3rd edition. Vol. 2. New York, NY, USA: Informa Healthcare USA, Inc; 2007. Tumours of the nervous system; pp. 681–688.
-
- Woodruff JM, Kourea HP, Louis DN, Scheithauer BW. WHO Classification: Tumours of the Nervous System. 1st edition. Lyon, France: IARC Press; 1999. Neurofibroma; pp. 167–168.
-
- Marocchio LS, Oliveira DT, Pereira MC, Soares CT, Fleury RN. Sporadic and multiple neurofibromas in the head and neck region: a retrospective study of 33 years. Clinical Oral Investigations. 2007;11(2):165–169. - PubMed
-
- Narwal A, Saxena S, Rathod V, Bansal P. Intraoral solitary neurofibroma in an infant. Journal of Oral and Maxillo Facial Pathology. 2008;12(2):75–78.
-
- Korf BR. Plexiform neurofibromas. The American Journal of Medical Genetics. 1999;89:31–37. - PubMed
LinkOut - more resources
Full Text Sources
Other Literature Sources
Research Materials