Jejunal intussusception: a rare cause of an acute abdomen in adults
- PMID: 24872480
- PMCID: PMC4039880
- DOI: 10.1136/bcr-2013-202593
Jejunal intussusception: a rare cause of an acute abdomen in adults
Abstract
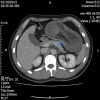
Abdominal pain secondary to intussusception is a common presentation in the paediatric population but rare in adults. Diagnosis is often difficult due to non-specific signs and symptoms. Adult intussusception presents more insidiously with intermittent abdominal pain and signs and symptoms of an acute abdomen are rare. In children, the aetiological factor is usually idiopathic, whereas intussusception in adults is more commonly due to an underlying pathology giving rise to a lead point. Consequently the treatment of choice is different-while it is supportive in children, surgical management is typically indicated in adults. In addition, the causes of a lead point precipitating adult intussusception are different depending on whether they arise from the small or large bowel. This report presents a case of jejunal intussusception in a 30-year-old man with a characteristic CT scan who required exploratory laparotomy and small bowel resection.
2014 BMJ Publishing Group Ltd.
Figures



References
-
- Powers RD, Guertler AT. Abdominal pain in the ED: stability and change over 20 years. Am J Emerg Med 1995;13:301–3 - PubMed
-
- Agha FP. Intussusception in adults. AJR Am J Roentgenol 1986;146:527–31 - PubMed
-
- Coleman MJ, Hugh TB, May RE, et al. Intussusception in the adult. Aust N Z J Surg 1981;51:179–81 - PubMed
-
- Rathore MA, Andrabi SI, Mansha M. Adult intussusception—a surgical dilemma. J Ayub Med Coll Abbottabad 2006;18:3–6 - PubMed
-
- Chang CC, Chen YY, Chen YF, et al. Adult intussusception in Asians: clinical presentations, diagnosis, and treatment. J Gastroenterol Hepatol 2007;22:1767–71 - PubMed
Publication types
MeSH terms
LinkOut - more resources
Full Text Sources
Other Literature Sources
Medical