Fused primary first mandibular macromolar with a unique relation to its permanent successors: A rare tooth anomaly
- PMID: 24883034
- PMCID: PMC4023197
- DOI: 10.4103/1305-7456.110195
Fused primary first mandibular macromolar with a unique relation to its permanent successors: A rare tooth anomaly
Abstract
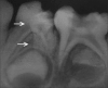
Dental anomalies of number and forms may occur in the primary and permanent dentition. Various terms have been used to describe dental twinning anomalies: Germination, fusion, concrescence, double teeth, conjoined teeth, twinned teeth, geminifusion, and vicinifusion. Fused tooth is a developmental anomaly that is seen more frequently in the primary than the permanent dentition. Double tooth involving deciduous anterior teeth is found mostly in the mandible. Very few cases of nonsyndromic double primary molar have been reported in the literature. The succeeding permanent tooth is often found missing congenitally in the same region. This article reports a very rare unilateral occurrence of an anomalous, primary mandibular first macromolar formed by fusion with a dysmorphic premolar like supernumerary tooth in deciduous dentition period. Instead of agenesis of succedaneous tooth, the double tooth has been succeeded by normally developing mandibular first premolar in the same region.
Keywords: Fusion; nonsyndromic; supernumerary.
Conflict of interest statement
Figures





References
-
- Duncan WK, Helpin ML. Bilateral fusion and gemination: A literature analysis and case report. Oral Surg Oral Med Oral Pathol. 1987;64:82–7. - PubMed
-
- Tasa GL, Lukacs JR. The prevalence and expression of primary double teeth in western India. ASDC J Dent Child. 2001;68:196–200. - PubMed
-
- Hagman FT. Anomalies of form and number, fused primary teeth, a correlation of the dentitions. ASDC J Dent Child. 1988;55:59–61. - PubMed
-
- Buenviaje TM, Rapp R. Dental anomalies in children: A clinical and radiographic survey. ASDC J Dent Child. 1984;51:42–5. - PubMed
-
- Mattos-Garner RO, Rontani RM, Gavião MB, de Souza Filho FJ, Granatto AP, de Almeida OP. Anomalies of tooth form and number in the permanent dentition: Report of two cases. ASDC J Dent Child. 1997;64:298–302. - PubMed
Publication types
LinkOut - more resources
Full Text Sources
Other Literature Sources