Sonographic anatomy of the ankle
- PMID: 24883130
- PMCID: PMC4033724
- DOI: 10.1007/s40477-013-0025-x
Sonographic anatomy of the ankle
Abstract
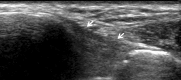
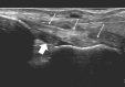
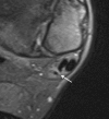
Ankle sonography is one of the most commonly ordered examinations in the field of osteoarticular imaging, and it requires intimate knowledge of the anatomic structures that make up the joint. For practical purposes, the examination can be divided into four compartments, which are analyzed in this pictorial essay: the anterior compartment, which includes the tibialis anterior, extensor hallucis longus, and extensor digitorum longus tendons; the accessory peroneus tertius tendon; and the extensor retinaculum; the medial compartment (tibialis posterior, flexor digitorum longus, and flexor hallucis longus tendons; the flexor retinaculum; the medial collateral-or deltoid-ligament, and the neurovascular bundle); the lateral compartment (peroneus longus, peroneus brevis, and peroneus quartus tendons; superior and inferior peroneal retinacula, lateral collateral ligament); and the posterior compartment (Achilles tendon, plantaris tendon, Kagar's triangle, superficial, and deep retrocalcaneal bursae). Scanning techniques are briefly described to ensure optimal visualization of the various anatomic structures.
L’esame ecografico della caviglia è tra gli esami più richiesti nell’ambito dell’ecografia osteoarticolare; ne deriva la necessità di una conoscenza approfondita delle strutture anatomiche che la compongono. L’approccio ecografico per lo studio della caviglia è, per scopi pratici, organizzato per comparti; si analizzano nel presente pictorial essay le strutture del comparto anteriore (tendine tibiale anteriore, tendine estensore lungo dell’alluce, tendine estensore lungo delle dita, tendine peroneo tertius, retinacolo degli estensori), del comparto mediale (tendine tibiale posteriore, tendine flessore lungo delle dita, tendine flessore lungo dell’alluce, retinacolo dei flessori, legamento collaterale mediale o deltoideo, fascio vascolo-nervoso), del comparto esterno (tendini peronei breve e lungo, tendine peroneo quarto, retinacolo superiore ed inferiore dei peronei, legamento collaterale esterno), del comparto posteriore (tendine d’Achille, tendine del muscolo plantare, triangolo di Kager, borse sinoviali calcaneali superficiale e profonda). Si riporta inoltre qualche breve cenno di tecnica ecografica necessaria per l’ottimale visualizzazione delle strutture descritte.
Keywords: Achilles tendon; Ankle; Extensor tendons of the foot; Flexor tendons of the foot; Ligaments of the ankle; Ultrasonography.
Figures




















References
-
- Draghi F, Precerutti M, Gervasio A, Spinazzola A, Madonna L, Ferrozzi G. Caviglia e piede. In: Busilacchi P, Rapaccini GL, editors. Ecografia clinica Cap 33. Italy: Idelson–Gnocchi; 2006. pp. 575–584.
-
- Bianchi S, Martinoli C. Ultrasound of the musculoskeletal system. Berlin: Springer; 2007. p. 774.
LinkOut - more resources
Full Text Sources
Other Literature Sources