Burkitt's lymphoma masquerading as appendicitis--two case reports and review of the literature
- PMID: 24942062
- PMCID: PMC4075545
- DOI: 10.1186/1477-7819-12-187
Burkitt's lymphoma masquerading as appendicitis--two case reports and review of the literature
Abstract
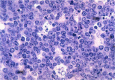
Two cases of Burkitt's lymphoma masquerading as appendicitis are reported herein. The diagnoses were made post-operatively from the appendix specimen in one case and from an ileocecal resection specimen for cecal fistula complicating an appendicectomy in the second case. These cases highlight the importance of routine histological examination of appendicectomy specimens.
Figures

References
-
- Mulima N, Molyneux E, Jaffe H, Kamiza S, Borgstein E, Mkandawire N, Liomba G, Batumba M, Lagos D, Gratrix F, Boshoff C, Casabonne D, Carpenter LM, Newton R. Associations between Burkitt lymphoma among children in Malawi and infection with HIV, EBV and malaria: results from a case–control study. PLoS One. 2008;3e:2505. - PMC - PubMed
Publication types
MeSH terms
LinkOut - more resources
Full Text Sources
Other Literature Sources
Medical