Skip to main page content
U.S. flag

An official website of the United States government

Dot gov

The .gov means it’s official.
Federal government websites often end in .gov or .mil. Before sharing sensitive information, make sure you’re on a federal government site.

Https

The site is secure.
The https:// ensures that you are connecting to the official website and that any information you provide is encrypted and transmitted securely.

Access keys NCBI Homepage MyNCBI Homepage Main Content Main Navigation
Case Reports
. 2014 Jun 12:79:145-9.
doi: 10.12659/PJR.890662. eCollection 2014.

Two adult cases of extralobar pulmonary sequestration: A non-complicated case and a necrotic case with torsion

Affiliations
Case Reports

Two adult cases of extralobar pulmonary sequestration: A non-complicated case and a necrotic case with torsion

Kayo Takeuchi et al. Pol J Radiol. .

Abstract

Background: This case report describes two cases of extralobar pulmonary sequestration in adults with and without torsion/necrosis.

Case reports: Non-complicated extralobar pulmonary sequestration was found incidentally in a 50-year-old asymptomatic woman (Case 1), diagnosed with the presence of a branching structure in a mass lesion and blood supply from the right inferior phrenic artery. Another case of a 38-year-old woman presented with a sudden onset of back pain caused by extralobar pulmonary sequestration with torsion/necrosis (Case 2). A 4-cm fusiform mass in the paravertebral region showed enhancement in the peripheral rim only, and no feeding artery. These were the same as it had been reported typical findings in extralobar pulmonary sequestration with necrosis. On magnetic resonance imaging, the masses in both cases showed inhomogeneous low signal and branching high signal on T2-weighted images. That was characteristic for a stroma without dilated alveoli as a solid part and dilated alveoli as fluid regions.

Conclusions: By comparing those two cases, we came to a conclusion that only T2-weighted imaging reflects the native structure, even after infarction. Although differentiation from a cystic tumor with hemorrhage or infection can be problematic, inhomogeneous low signal and branching high signal on T2-weighted images may help us distinguish extralobar pulmonary sequestration from other cystic lesions.

Keywords: Bronchopulmonary Sequestration; Necrosis; Torsion, Mechanical.

PubMed Disclaimer

Figures

Figure 1
Figure 1
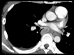
Case 1. Contrast-enhanced chest CT. A solid mass with cyst and branching fluid collection is apparent above the right dorsal diaphragm.
Figure 2
Figure 2
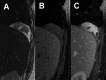
Case 1. Contrast-enhanced MRI, sagittal image. (A) T2WI; (B) T1WI (FS); (C) contrast-enhanced T1WI (FS). The solid part of the mass showed inhomogeneous low signal intensity on T2WI and strong enhancement on contrast-enhanced T1WI (FS).
Figure 3
Figure 3
(A–C) Case 1. Unenhanced MRI, sagittal T2 WI. The mass shows an inhomogeneous low signal with cyst and branching signal hyperintensity.
Figure 4
Figure 4
Case 2. Contrast-enhanced chest CT. A mass is present in the azygo-esophageal recess, and only the periphery is enhanced. A small amount of pleural effusion is seen on the right side.
Figure 5
Figure 5
Case 2. Contrast-enhanced MRI, sagittal image. (A) T2WI (FS); (B) T1WI; (C) enhanced T1WI (FS). The mass shows inhomogeneous low signal on T2WI (FS), slightly high signal on T1WI, and enhancement only at the periphery.
Figure 6
Figure 6
Case 2. Unenhanced MRI, sagittal T2WI (FS). The mass shows an inhomogeneous low signal with branching signal hyperintensity.
Figure 7
Figure 7
Histopathological study of Case 2. The mass shows total hemorrhagic necrosis and remaining circular lining cartilage.

References

    1. Pryce DM. Lower accessory pulmonary artery with intralobar sequestration of lung: a report of seven cases. J Path Bact. 1946;58:457–67. - PubMed
    1. Stocker JT. Sequestrations of the lung. Semin Diagn Pathol. 1986;3:106–21. - PubMed
    1. Rosado-de-Christenson ML, Frazier AA, Stocker JT, Templeton PA. Extralobar sequestration: Radiologic pathologic correlation. Radiograpics. 1993;13:425–41. - PubMed
    1. Hasleton PS. Spencer’s Pathology of the Lung. New York: McGraw-Hill; 2013. pp. 71–73.
    1. Travis WD. AFIP Atlas of nontumor Pathology, Fascicle2-Non-Neoplastic Disorders of the Lower Respiratory Tract. 2002. pp. 484–86.

Publication types

LinkOut - more resources