Abdominal manifestations of lymphoma: spectrum of imaging features
- PMID: 24967280
- PMCID: PMC4045537
- DOI: 10.5402/2013/483069
Abdominal manifestations of lymphoma: spectrum of imaging features
Abstract
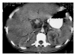
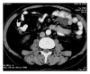
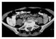
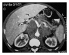
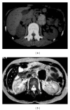
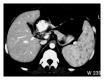
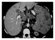
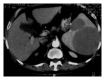
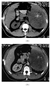
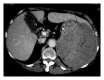
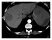
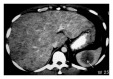
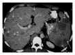
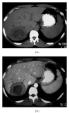
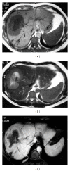
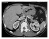
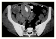
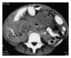
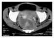
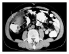
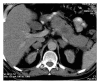
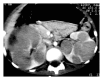
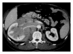
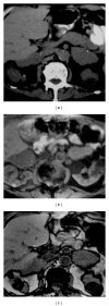
Non-Hodgkin and Hodgkin lymphomas frequently involve many structures in the abdomen and pelvis. Extranodal disease is more common with Non-Hodgkin's lymphoma than with Hodgkin's lymphoma. Though it may be part of a systemic lymphoma, single onset of nodal lymphoma is not rare. Extranodal lymphoma has been described in virtually every organ and tissue. In decreasing order of frequency, the spleen, liver, gastrointestinal tract, pancreas, abdominal wall, genitourinary tract, adrenal, peritoneal cavity, and biliary tract are involved. The purpose of this review is to discuss and illustrate the spectrum of appearances of nodal and extranodal lymphomas, including AIDS-related lymphomas, in the abdominopelvic region using a multimodality approach, especially cross-sectional imaging techniques. The most common radiologic patterns of involvement are illustrated. Familiarity with the imaging manifestations that are diagnostically specific for lymphoma is important because imaging plays an important role in the noninvasive management of disease.
Figures
































References
-
- Kwee TC, Kwee RM, Nievelstein RAJ. Imaging in staging of malignant lymphoma: a systematic review. Blood. 2008;111(2):504–516. - PubMed
-
- Lee W-K, Lau EWF, Duddalwar VA, Stanley AJ, Ho YY. Abdominal manifestations of extranodal lymphoma: spectrum of imaging findings. American Journal of Roentgenology. 2008;191(1):198–206. - PubMed
-
- Metser U, Goor O, Lerman H, Naparstek E, Even-Sapir E. PET-CT of extranodal lymphoma. American Journal of Roentgenology. 2004;182(6):1579–1586. - PubMed
-
- Guermazi A, Brice P, De Kerviler E, et al. Extranodal Hodgkin disease: spectrum of disease. Radiographics. 2001;21(1):161–179. - PubMed
Publication types
LinkOut - more resources
Full Text Sources
Other Literature Sources