Skip to main page content
U.S. flag

An official website of the United States government

Dot gov

The .gov means it’s official.
Federal government websites often end in .gov or .mil. Before sharing sensitive information, make sure you’re on a federal government site.

Https

The site is secure.
The https:// ensures that you are connecting to the official website and that any information you provide is encrypted and transmitted securely.

Access keys NCBI Homepage MyNCBI Homepage Main Content Main Navigation
. 2014 Jul;5(3):218-24.
doi: 10.4103/0976-3147.133559.

Clinical profile and outcome of cerebral venous sinus thrombosis at tertiary care center

Affiliations

Clinical profile and outcome of cerebral venous sinus thrombosis at tertiary care center

Virendra C Patil et al. J Neurosci Rural Pract. 2014 Jul.

Abstract

Background: Thrombosis of the cerebral venous sinuses (CVST) is an uncommon form of stroke, usually affecting young individuals. Clinical features of CVST are diverse, and for this reason, high degree of clinical suspect is mandatory to diagnose the conditions.

Materials and methods: This study was conducted over a period of 1 year (Jan 2011 to Dec 2011). This was a retrospective, observational, and noninterventional study. This study was conducted in the Department of Medicine at a tertiary care teaching center. Total 50 patients where diagnosis of CVST was confirmed by computed tomography/magnetic resonance imaging brain venogram were included in this study. All patients with diagnosis of CVST were treated according to the standard protocol and guidelines.

Statistical analysis: The mean and standard deviation were obtained. The Chi-square test was used to analyze the data and P < 0.05 was considered as statistically significant.

Results: Of total 50 patients with diagnosis of CVST, 21 (42%) were males and 29 (58%) were females with 39 ± 10 years and 29 ± 7 years, respectively. Total 45 (90%) patients presented with symptoms of headache and vomiting, 13 (26%) had seizures, 12 (24%) had hemiplegia, and 19 (38%) had fever. A total of 13 (26%) patients had papilledema on fundoscopy. Total 9 (31%) out of 29 patients had diagnosis of CVST during peripartum period. Total 12 (24%) patients had hyperhomocysteinemia. Total 23 (46%) patients had sagittal sinus thrombosis, 10 (20%) had multiple sinus thrombosis, 16 (32%) had sigmoid/transverse sinus thrombosis. There was 1 (2%) patient who had bilateral cavernous sinus thrombosis, who presented with bilateral proptosis, conjunctival congestion, and external ophthalmoplegia with a history of acute or chronic maxillary and sphenoid sinusitis. Total 38 patients had evidence of infection in the form of fever, paranasal sinus (PNS) infections, Chronic suppurative otitis media (CSOM). Total 19 (38%) patients had a history and evidence of dehydration. Total 8 (16%) patients died during the course of treatment and 42 (84%) were discharged with partial and/or total recovery. Three (6%) patients required neurosurgical intervention in the form of decompressive craniotomy. Eight (16%) patients died with cerebral edema with transtentorial herniation. The mean age of death in male was significantly greater than in female patients with P < 0.02. Majority of patients succumbed had sigmoid, transverse, and/or multiple sinus involvement. Patients with multiple sinus thrombosis had greater case fatality rate.

Conclusions: The current study highlights the burden of CVST in the study population with headache and vomiting, which was the most common presenting complaint. The superior sagittal sinus thrombosis was the most common and bilateral cavernous sinus thrombosis was the uncommon affection in CVST. One third of female population was affected in peripartum period. The infection and/or dehydration was the most commonly associated precipitating event for development of CVST and more than one fifth of the population had evidence of hyperhomocysteinemia. Mortality was more in patients with affection of sigmoid, transverse, and/or multiple sinus involvement in male patients and superior sagittal sinus thrombosis in female patients. The treatment of CVST has to be aggressive as morbidity and mortality is relatively minimal compared with the arterial stroke.

Keywords: Hyperhomocysteinemia; peripartum; sagittal sinus thrombosis; thrombosis of the cerebral venous sinuses.

PubMed Disclaimer

Conflict of interest statement

Conflict of Interest: None declared.

Figures

Graph 1
Graph 1
Risk factors for the development of cerebral venous sinus thrombosis
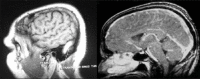
Figure 1
Figure 1
Magnetic resonance imaging brain venogram showing transverse sinus thrombosis and superior sagittal sinus thrombosis evidenced by empty delta sign
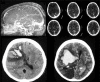
Figure 2
Figure 2
Magnetic resonance imaging brain venogram showing superior sagittal sinus thrombosis and hemorrhagic conversion of venous infarct and computed tomography brain showing superior sagittal sinus thrombosis evidenced by empty delta sign
Graph 2
Graph 2
Type of cerebral venous sinus thrombosis and mortality

References

    1. Saposnik G, Barinagarrementeria F, Brown RD, Jr, Bushnell CD, Cucchiara B, Cushman M, et al. American Heart Association Stroke Council and the Council on Epidemiology and Prevention. Diagnosis and management of cerebral venous thrombosis: A statement for healthcare professionals from the American Heart Association/American Stroke Association. Stroke. 2011;42:1158–92. - PubMed
    1. Prakash C, Bansal BC. Cerebral venous thrombosis. J Indian Acad Clin Med. 2000;5:55–61.
    1. Nagaraja D, Kruthika-Vinod TP, Christopher R. The prothrombin gene G20210A variant and puerperal cerebral venous and sinus thrombosis in South Indian women. J Clin Neurosci. 2007;14:635–8. - PubMed
    1. Pfefferkorn T, Crassard I, Linn J, Dichgans M, Boukobza M, Bousser MG. Clinical features, course and outcome in deep cerebral venous system thrombosis: An analysis of 32 cases. J Neurol. 2009;256:1839–45. - PubMed
    1. Lath R, Kumar S, Reddy R, Boola GR, Ray A, Prabhakar S, et al. Decompressive surgery for severe cerebral venous sinus thrombosis. Neurol India. 2010;58:392–7. - PubMed

LinkOut - more resources