A rare occurrence of a malignant ovarian steroid cell tumor not otherwise specified: A case report and literature review
- PMID: 25009655
- PMCID: PMC4081424
- DOI: 10.3892/ol.2014.2233
A rare occurrence of a malignant ovarian steroid cell tumor not otherwise specified: A case report and literature review
Abstract
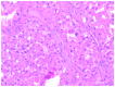
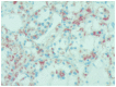
Steroid cell tumors not otherwise specified (NOS) are a rare subgroup of sex cord-stromal tumors. The tumors can occur at any age, although the mean age of occurrence is 43 years old. The majority are benign, but have the capability of producing one or more steroids associated with virilization. The present study reports the case of a 29-year-old female who presented to the Second Xiangya Hospital suffering from lower back and leg pain that had persisted for five months. The patient had regular menstrual cycles and no virilization symptoms were present. Laboratory investigations revealed normal hormone levels. Multiple areas of bone destruction and a right ovarian mass were confirmed via positron emission tomography/computed tomography. The patient underwent an exploratory laparotomy, and a mass measuring ~6 cm in diameter was subsequently identified in the right ovary. A right salpingo-oophorectomy and pelvic washings for cytology were performed. Histopathological studies confirmed the diagnosis of a malignant steroid cell tumor NOS of the right ovary. The patient underwent eight cycles of chemotherapy (docetaxel, 120 mg and nedaplatin, 80 mg). The patient continued to have relatively good health, with no deterioration of the condition for one year and a half, however, the disease progressed and the patient succumbed to brain metastases six months later.
Keywords: bone metastasis; chemotherapy; not otherwise specified; ovarian steroid cell tumor.
Figures





References
-
- Scully RE. Atlas of Tumor Pathology. Armed Forces Institute of Pathology; Washington, DC, USA: 1979. Tumors of the ovary and maldeveloped gonads; pp. 215–220. (Second Series Fascicle 16).
-
- Hayes MC, Scully RE. Ovarian steroid cell tumors (not otherwise specified). A clinicopathological analysis of 63 cases. Am J Surg Pathol. 1987;11:835–845. - PubMed
-
- Amneus MW, Natarajan S. Pathologic quiz case: a rare tumor of the ovary. Arch Pathol Lab Med. 2003;127:890–892. - PubMed
-
- Novoa-Vargas A, Sánchez-Bautista K, Coudillo-Luna I. Malignant arrhenoblastoma. Case report and literature review. Ginecol Obstet Mex. 2011;79:45–51. (In Spanish) - PubMed
LinkOut - more resources
Full Text Sources
Other Literature Sources