Inflammatory myofibroblastic tumor of maxilla showing sarcomatous change in an edentulous site with a history of tooth extraction following periodontitis: A case report with discussion
- PMID: 25024554
- PMCID: PMC4095633
- DOI: 10.4103/0972-124X.134582
Inflammatory myofibroblastic tumor of maxilla showing sarcomatous change in an edentulous site with a history of tooth extraction following periodontitis: A case report with discussion
Abstract
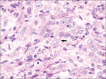
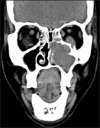
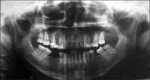
Inflammatory myofibroblastic tumor (IMT) is a rare tumor of uncertain origin with variable biological behavior ranging from reactive lesions to highly aggressive malignancy. Oral IMTs are extremely rare and only 25 cases had been reported so far. A case of IMT with sarcomatous transformation in an extraction site with a history of tooth extraction following tooth mobility of an upper left molar tooth is presented here. The tooth was extracted following a complaint of gingival swelling and mobility of tooth. Though malignant transformation in IMTs had been documented in the extra oral sites, wide search of associated literature suggests, this is the first case of oral IMT showing malignant change associated with gingiva. The case report attempts to highlight the variant possibilities of tooth mobility other than periodontitis and the importance of assessing the primary cause of such conditions.
Keywords: Inflammatory myofibroblastic tumor; malignant transformation; maxillary sinus; oral.
Conflict of interest statement
Figures
References
-
- Coffin CM, Watterson J, Priest JR, Dehner LP. Extrapulmonary inflammatory myofibroblastic tumor (inflammatory pseudotumor). A clinicopathologic and immunohistochemical study of 84 cases. Am J Surg Pathol. 1995;19:859–72. - PubMed
-
- Biselli R, Boldrini R, Ferlini C, Boglino C, Inserra A, Bosman C. Myofibroblastic tumours: Neoplasias with divergent behaviour. Ultrastructural and flow cytometric analysis. Pathol Res Pract. 1999;195:619–32. - PubMed
-
- Coffin CM, Dehner LP, Meis-Kindblom JM. Inflammatory myofibroblastic tumor, inflammatory fibrosarcoma, and related lesions: An historical review with differential diagnostic considerations. Semin Diagn Pathol. 1998;15:102–10. - PubMed
Publication types
LinkOut - more resources
Full Text Sources
Other Literature Sources
