Ortner's syndrome: a case report and review of the literature
- PMID: 25035442
- PMCID: PMC4112344
- DOI: 10.1136/bcr-2013-202900
Ortner's syndrome: a case report and review of the literature
Abstract
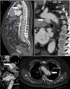
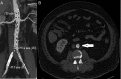
We present a case of a 67-year-old man who was an active smoker, with a clinical history of ischaemic cardiopathy, hypertension, who presented to the emergency room with hoarseness of voice of 2 weeks duration. No other neurological or cardiorespiratory symptoms were found. Physical examination revealed an aortic regurgitation murmur with radial pulse difference between the upper limbs and femoral pulse difference on lower limbs. Laryngoscopy examination revealed a left vocal cord paralysis in the paramedian position, without signs of malignancy. Thoracoabdominal CT angiography was performed to rule out an aortic dissection. CT revealed a dissection in the descending thoracic aortic arch and abdominal aorta. Cardiovascular surgery was consulted and decided to place endoprosthesis at the thoracic and abdominal aortic area. Hoarseness eventually resolved during the following weeks. Ortner's syndrome is described as hoarseness of voice caused by compression of the left recurrent laryngeal nerve of cardiovascular origin.
2014 BMJ Publishing Group Ltd.
Figures


References
-
- Ortner N. Recurrenslähmung bei Mitralstenose. Wien Klin Wochenschr 1897;10:753–5
-
- Solanki SV, Yajnik VH. Ortneŕs syndrome. Indian Heart J 1972;24:43–6 - PubMed
-
- Sengupta A, Dubey SP, Chaudhuri D, et al. Ortner's syndrome revisited. J Laryngol Otol 1998;112:377–9 - PubMed
-
- Iwashita Y, Sakurai K, Kanaya T. A case of Ortner syndrome. Intern Med 2012;51:1441. - PubMed
-
- Albertini RE. Vocal cord paralysis associated with pulmonary emboli. Chest 1972;62:508–10 - PubMed
Publication types
MeSH terms
LinkOut - more resources
Full Text Sources
Other Literature Sources
Medical