The added value of double dose gadolinium enhanced 3D T2 fluid-attenuated inversion recovery for evaluating small brain metastases
- PMID: 25048479
- PMCID: PMC4108806
- DOI: 10.3349/ymj.2014.55.5.1231
The added value of double dose gadolinium enhanced 3D T2 fluid-attenuated inversion recovery for evaluating small brain metastases
Abstract
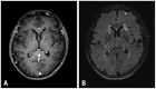
Purpose: Single dose gadolinium (Gd) enhanced fluid-attenuated inversion recovery (FLAIR) is helpful for visualizing superficial parenchymal metastases. However, the usefulness of FLAIR with a higher dose of Gd is uncertain. The aim of our study was two-folds: first, to prove that the signal to noise ratio (SNR) of small brain metastases is higher than large brain metastases on double-dose (DD) enhanced FLAIR and, second, to explore the added value of DD Gd enhanced FLAIR in relation to T1 GRE for evaluating small brain metastases.
Materials and methods: For the first purpose, 50 pairs of small (2 mm<diameter≤5 mm) and large brain metastases (diameter>5 mm) were included. The difference in the SNR and contrast ratio (CR) between small and large metastases on DD Gd-enhanced 3D T2 FLAIR was compared by Wilcoxon signed-rank tests. For the second purpose, a total of 404 small metastases were included. The diagnostic sensitivities between 3D T1 gradient echo (GRE) alone and combined results of 3D T1 GRE and 3D T2 FLAIR were compared with McNemar test.
Results: The SNR and CR of small brain metastases were significantly higher than those of large brain metastases (p<0.001). In qualitative analysis, the diagnostic sensitivities for small brain metastases were significantly higher for 3D T1 GRE plus 3D T2 FLAIR than 3D T1 GRE alone regardless of scan time (p<0.001).
Conclusion: Small brain metastases showed higher signal intensity than large brain metastases on the DD Gd enhanced 3D T2 FLAIR images. DD Gd enhanced 3D T2 FLAIR imaging may have a complementary role to 3D T1 GRE for evaluating small brain metastases.
Keywords: CNS; MR-imaging; metastases.
Conflict of interest statement
The authors have no financial conflicts of interest.
Figures
References
-
- Vecht CJ, Haaxma-Reiche H, Noordijk EM, Padberg GW, Voormolen JH, Hoekstra FH, et al. Treatment of single brain metastasis: radiotherapy alone or combined with neurosurgery? Ann Neurol. 1993;33:583–590. - PubMed
-
- Patchell RA. The management of brain metastases. Cancer Treat Rev. 2003;29:533–540. - PubMed
-
- Chang SD, Lee E, Sakamoto GT, Brown NP, Adler JR., Jr Stereotactic radiosurgery in patients with multiple brain metastases. Neurosurg Focus. 2000;9:e3. - PubMed
MeSH terms
Substances
LinkOut - more resources
Full Text Sources
Other Literature Sources
Medical
