Intestinal Obstruction due to Bilateral Strangulated Femoral Hernias
- PMID: 25057426
- PMCID: PMC4098984
- DOI: 10.1155/2014/195736
Intestinal Obstruction due to Bilateral Strangulated Femoral Hernias
Abstract
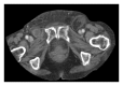
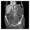
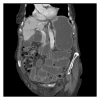
Introduction. Femoral hernias are at high risk of strangulation due to the narrow femoral canal and femoral ring. This can lead to symptoms of obstruction or strangulation requiring emergency surgery and possible bowel resection. To our knowledge, there is only one previous published report of bilateral strangulated femoral hernia. We present our case of this phenomenon. Case Report. An 86-year-old woman presented with symptoms of small bowel obstruction. Examination revealed two tender lumps in the area of the femoral triangle. CT scan revealed bilateral femoral hernias. Both hernias were repaired and a small bowel resection on the right side was performed with side to side anastomosis. She made an uneventful recovery. Conclusion. Bilateral femoral hernias are a rare occurrence with only one reported case of bilateral strangulation. Our case highlights the importance of meticulous history taking and clinical examination as any delay in diagnosis will increase the risk of mortality and morbidity for the patient. Hernias should always be considered as a cause if one presents with symptoms of abdominal pain or obstruction.
Figures



References
-
- Dahlstrand U, Wollert S, Nordin P, Sandblom G, Gunnarsson U. Emergency femoral hernia repair: a study based on a national register. Annals of Surgery. 2009;249(4):672–676. - PubMed
-
- Hachisuka T. Femoral hernia repair. Surgical Clinics of North America. 2003;83(5):1189–1205. - PubMed
-
- Rosenberg J, Bisgaard T, Kehlet H, et al. Danish Hernia Database recommendations for the management of inguinal and femoral hernia in adults. Danish Medical Bulletin. 2011;58(2, article C4243) - PubMed
LinkOut - more resources
Full Text Sources
Other Literature Sources